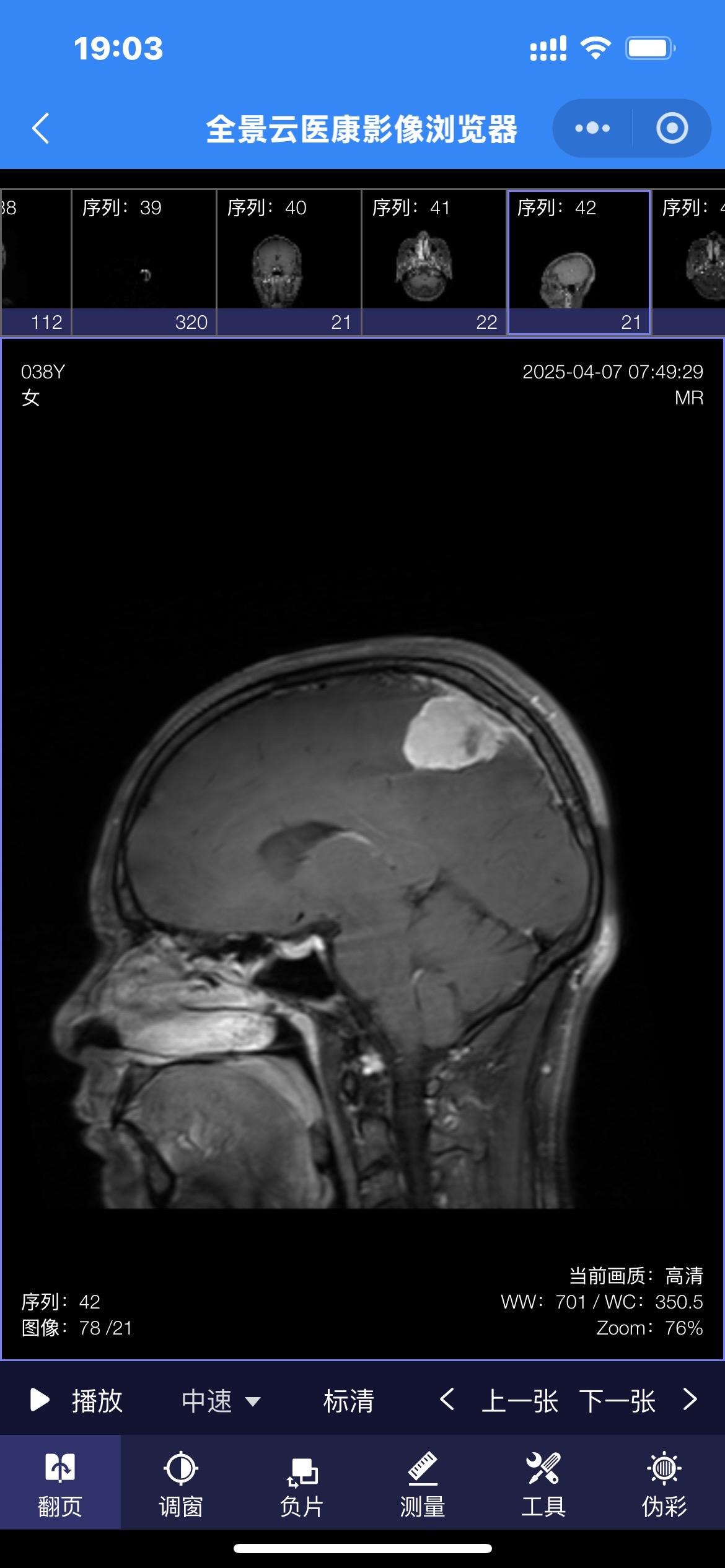
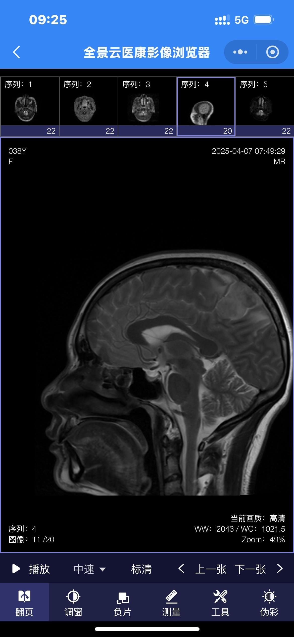
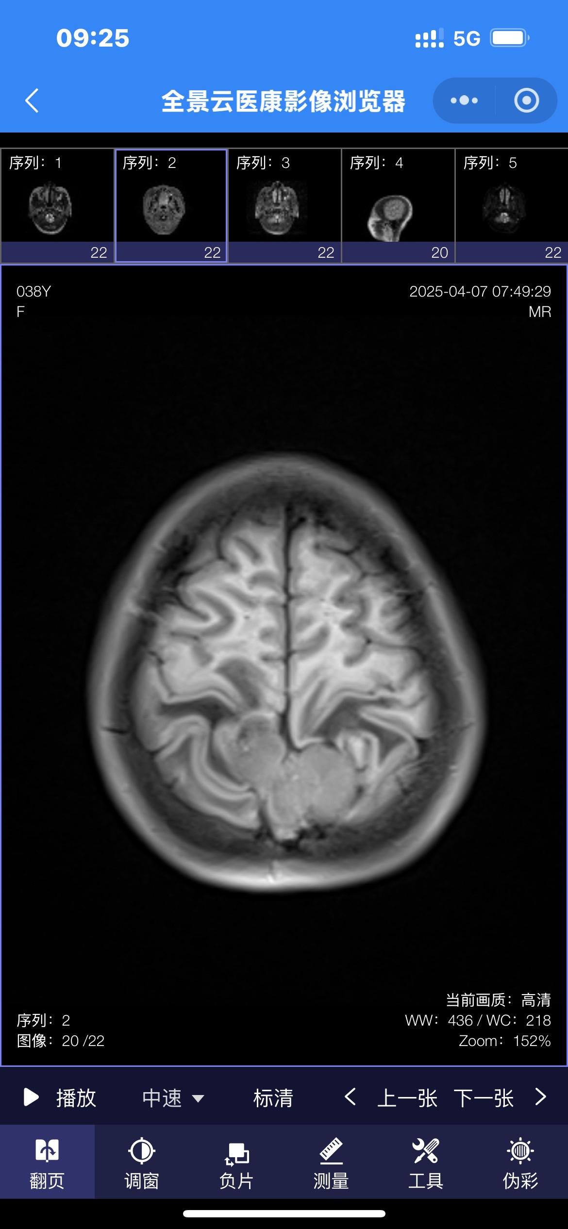
38岁女性因头痛发现脑膜瘤。脑膜瘤在女性的发病率要高于男性!...

神外周忠清 2025-04-13 09:04:14
38岁女性因头痛发现脑膜瘤。脑膜瘤在女性的发病率要高于男性! 首选的治疗方法就是切除肿瘤。 有的脑膜瘤切除的难度不大,有的脑膜瘤却是难以切除干净的。 这个脑膜瘤位置就不太好,位于中央区(有重要的功能的区域),切除难度就很大!脑膜瘤手术

0 阅读:1
神外周忠清

神外周忠清

感谢大家的关注