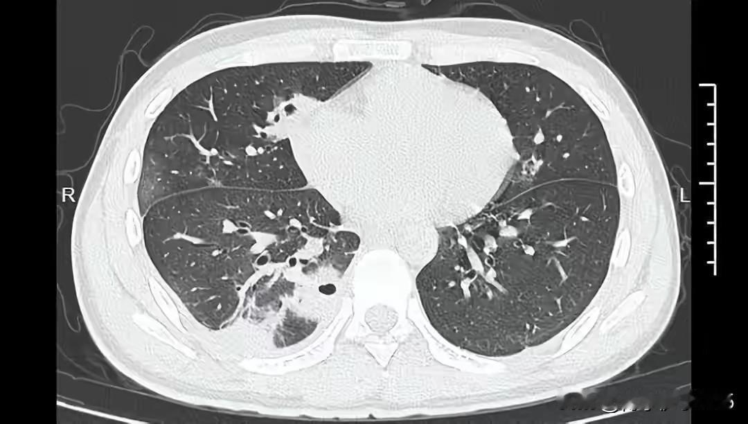
宁波20岁男生挤了1颗痘痘,挤进了ICU!肺里密密麻麻 这位宁波20岁的年轻小伙子,原本只是为了摆脱一颗烦人的痘痘,却没想到一场小小的“挤痘行动”竟让他付出了沉重的代价。事情的经过令人震惊,也让人不禁反思:我们对健康的忽视,究竟埋藏着多大的风险? 事情发生在一个普通的周末,年轻人因为脸上的一颗痘痘,心生烦躁,便用手挤了几下。谁曾想,这个看似微不足道的动作,却成为了他生命的转折点。几天后,他开始出现咳嗽、发热,症状逐渐加重,最终被送往医院。检查结果令人震惊——他的肺部密密麻麻布满了细菌和脓液,诊断为“严重的肺部感染”,医生不得不将他送入ICU,进行紧急治疗。 这起事件让人不禁心头一紧。挤痘痘看似简单的小事,实际上隐藏着巨大的健康隐患。皮肤上的痘痘,虽然看起来微不足道,但如果不注意卫生或用力过猛,极易引发细菌感染。尤其是在免疫力较低或身体状况不佳时,一次轻率的挤压,可能引起细菌逆行感染,甚至危及生命。 更令人担忧的是,很多年轻人对健康知识的缺乏,抱着“忍一忍就过去了”的心态,忽视了身体发出的警示信号。其实,身体的任何不适都不应被忽视,尤其是感染性疾病,一旦扩散,后果可能比想象中严重得多。我们常说“健康是最大的财富”,但在日常生活中,多少人为了所谓的“美丽”或“方便”,忽略了最基本的卫生与健康常识。 这起事件也提醒我们,面对生活中的小细节,要有更科学、更理性的态度。不要为了短暂的舒适,冒险触碰身体的“底线”。更重要的是,要学会倾听身体的声音,遇到异常症状时,及时就医,而不是自己“忍一忍”或随意处理。 此外,社会也应加强健康教育的普及,让年轻人了解皮肤护理的正确方式,认识到“挤痘痘”背后潜藏的风险。健康,从细节做起,每一个小习惯都关系到生命的质量。我们希望,这个年轻的生命不会因为一颗痘痘而付出沉重的代价,也希望每个人都能从中吸取教训,重视自己的健康。 生命如此脆弱,却又如此坚韧。只要我们多一份细心和警觉,就能远离那些看似微不足道,却可能引发巨大危机的小事。愿这个年轻人早日康复,也愿我们每个人都能用科学和理智守护自己的健康,让生命在平凡中绽放出不平凡的光彩。痘痘 粉刺爆痘 解压挤痘痘 挤痘后遗症 健康 生命

