76岁女性,发现脑肿瘤需要作手术吗?山东省菏泽市的76岁女性,因头晕症...

神外周忠清 2025-01-04 10:39:15
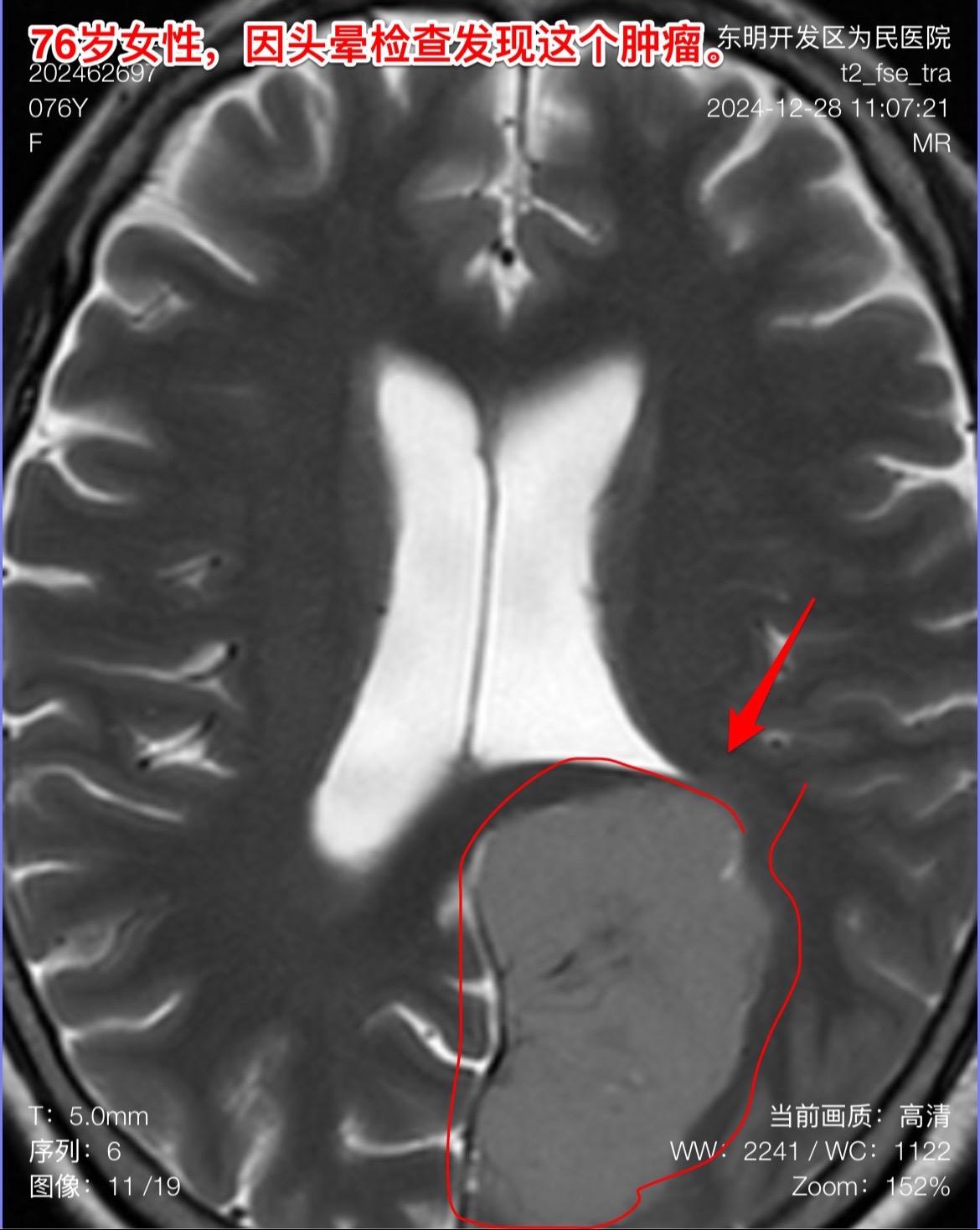
76岁女性,发现脑肿瘤需要作手术吗?山东省菏泽市的76岁女性,因头晕症状到医院去 头部磁共振检查,结果发现脑部长了一个大肿瘤,见图。 家人急切地想知道:是不是要立即动手术? 病人两年前还作过乳腺癌手术和甲状腺肿瘤切除手术。还有糖尿病病史20年。体重只有八十来斤。 这个老人需要立即作手术吗? 我看磁共振照片后印象是脑膜瘤。鉴于病人的身体状况不好,高龄,症状也不重,我建议先观察一段时间,不急于作手术。 朋友们,你们的意见是什么?

0 阅读:0
神外周忠清

神外周忠清

感谢大家的关注