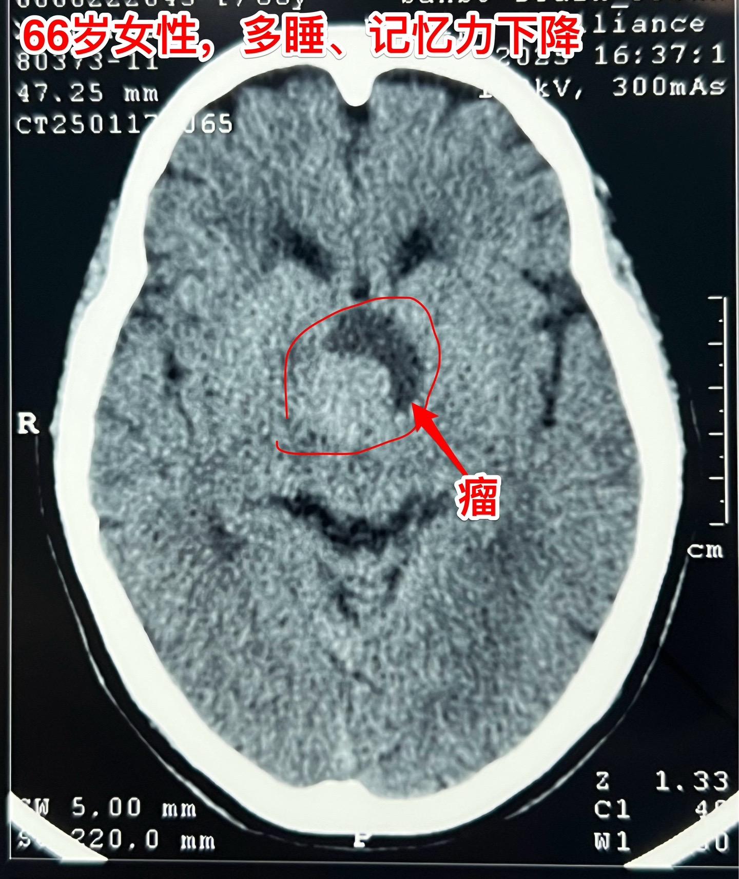
是颅咽管瘤吗?鞍区肿瘤的定性诊断是很难的。66岁女性,泰州人。因为多睡...

神外周忠清 2025-01-27 11:04:12
是颅咽管瘤吗?鞍区肿瘤的定性诊断是很难的。66岁女性,泰州人。因为多睡、记忆力下降在外院检查脑部发现脑部肿瘤。病人的多睡症状越来越严重。肿瘤位于鞍上区域,而且伴有脑积水。外院怀疑是颅咽管瘤?或者是别的肿瘤? 病人曾经在上海就医过,因担心手术风险,通过三博脑科医院院长找我咨询,随后决定到我院作手术。 1月24日作了开颅手术(这是我科春节前的最后一个择期手术),手术中发现肿瘤的性状不符合乳头型颅咽管瘤,分两次取标本送快速冰冻病理检查,报告考虑是胶质瘤。 下丘脑胶质

0 阅读:3
神外周忠清

神外周忠清

感谢大家的关注