九岁男孩子颅咽管瘤复发,肿瘤生长快。南阳市男孩子2年半前曾经作了一次手...

神外周忠清 2025-02-09 11:06:12
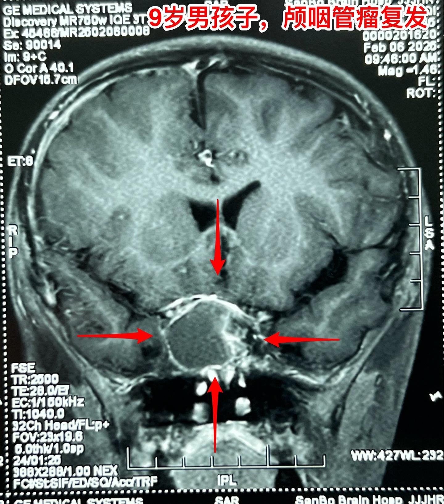
九岁男孩子颅咽管瘤复发,肿瘤生长快。南阳市男孩子2年半前曾经作了一次手术,2024年2月复查磁共振显示垂体窝内无肿瘤复发,鞍背骨质内有可疑异常信号。2025年1月复查磁共振即显示肿瘤复发而且直径达4厘米,患儿家长不敢相信肿瘤居然长得这么快!正月初八患儿即来住院,复查磁共振及CT见图。 病友们经常咨询的问题是肿瘤的生长速度。虽然颅咽管瘤是良性肿瘤,但是不能肯定地说颅咽管瘤的生长速度就很慢。即使在较长时间内肿瘤生长缓慢,也可能在某个时间段出现快速生长,也就是说颅咽管瘤的生长速度不是匀速的,难以预

0 阅读:0
神外周忠清

神外周忠清

感谢大家的关注