疾病多种多样,鉴别诊断不易!近几年人工智能AI发展迅猛,成果惊人!...

神外周忠清 2025-02-10 11:06:55
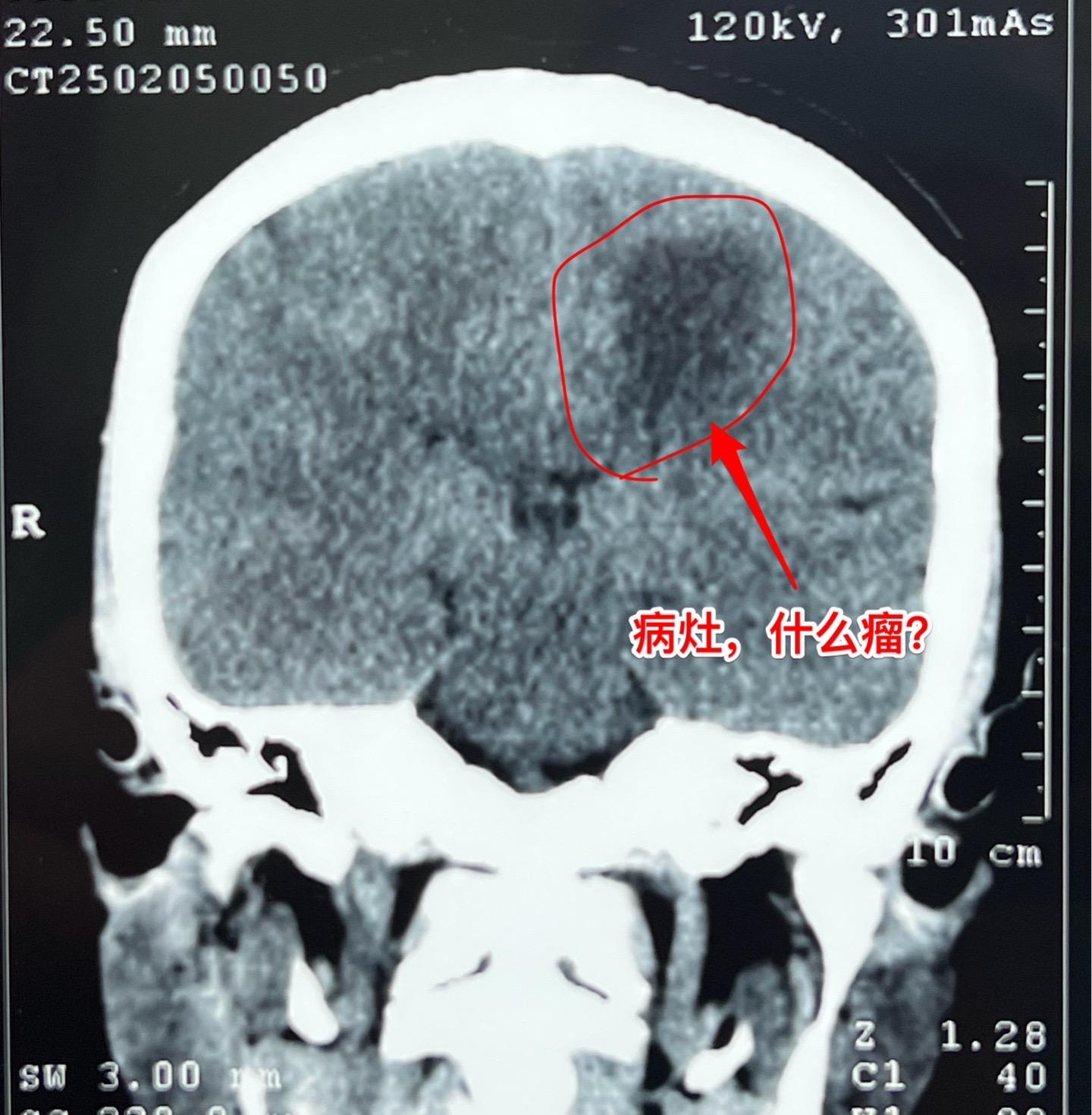
疾病多种多样,鉴别诊断不易!近几年人工智能AI发展迅猛,成果惊人! 听说有AI医院! 医生和病人都会提问:AI能取代医生看病吗? 今天介绍一个病人,61岁女性,因右侧偏身麻木无力来看病。CT和磁共振显示左侧中央区有个病灶,见图。怀疑是胶质瘤? 病人的症状越来越严重,正月初九住院后行走困难,而且右手手指难以张开,术前和病人家属充分交流、沟通,这个位置属于中央区,手术后很可能症状会加重。患者的两个儿子均想积极治疗。住院后两天做了手术。手术过程中发现

0 阅读:0
神外周忠清

神外周忠清

感谢大家的关注