因头痛检查发现脑部有三个瘤。56岁女性,黄梅县人。平时身体很好,因路滑...

神外周忠清 2025-08-03 20:51:52
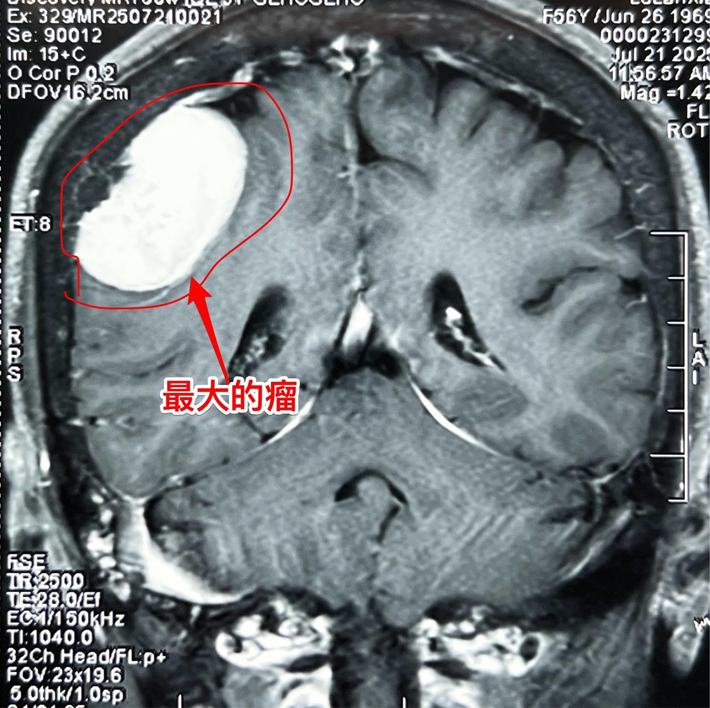
因头痛检查发现脑部有三个瘤。56岁女性,黄梅县人。平时身体很好,因路滑摔倒,检查发现脑部有三个瘤,最大的一个约5厘米。 患者的一个弟弟也是医生,推荐来找我作手术。 如图所示,经过详细的检查,确认第一个、第二个瘤是脑膜瘤,第三个瘤位于垂体窝内,考虑是垂体瘤。 今日(2025年8月3日)作手术,切除了两个脑膜瘤。垂体瘤暂时予以观察。

0 阅读:7
神外周忠清

神外周忠清

感谢大家的关注