世良情感网
刘喜庆好消化的文章
间质瘤需不要手术?这个大出血就很能说明!老年患者,急性消化道出血失血性...
2026-01-20 20:29
双牙线牵引辅助缝合,我们科大二附院内镜中心的小创意! 胃体上部大弯侧近...
2026-01-15 22:38
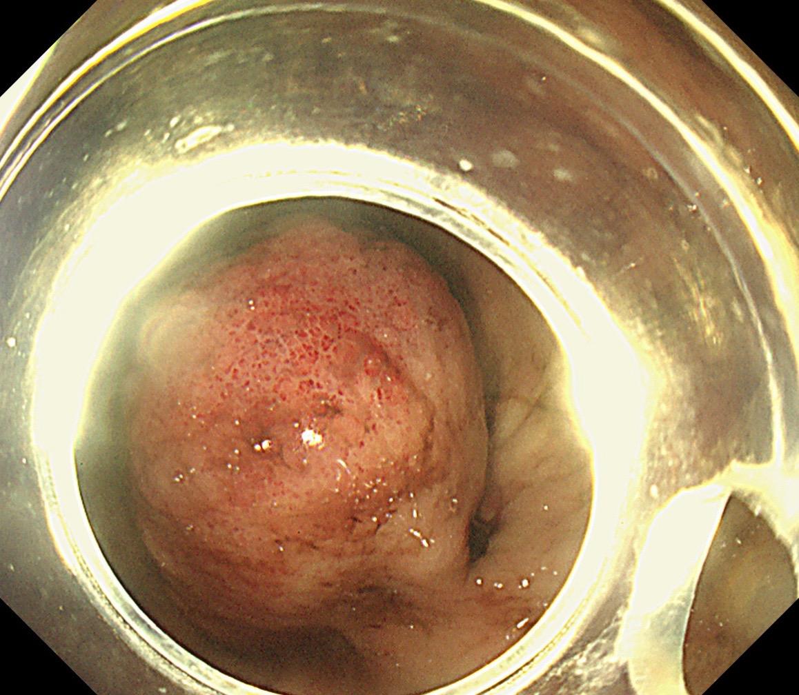
胃黏膜下隆起都是间质瘤吗?不是的!这个很像间质瘤的胃黏膜下隆起,其实是...
2026-01-14 20:29
2026年的第一例ERCP,迎战完全梗阻胆管癌。 虽然辐射剂量远超胆管...
2026-01-05 20:28
腰骶部臀部疼痛也有可能是结肠癌!65岁的患者反复腰骶部臀部疼痛,三四个...
2025-12-30 21:49
【精于术,简于形】 一例胃角间质瘤内镜下全层切除。 肿瘤虽小(2cm)...
2025-12-27 20:29
胃上切个5厘米的大洞,一周后竟然长这样!近期2个5厘米的大间质瘤,胃镜...
2025-11-24 21:31
取枣核发现个早癌!这个枣核虽然代价有点大,但能够发现早癌并完整切除也值了!
2025-11-19 20:41
ERCP后钛夹缝合保护括约肌功能!周六一个患者来咨询能不能做不切胆道括...
2025-10-24 13:52
给一个带营养管3年老爷子换管的感触。这是一个脑卒中多年的老爷子,老爷子...
2025-09-11 10:44
你性命相托,我必全力以赴。感谢信任!86岁,反复消化道出血1年多,血色...
2025-09-05 11:33
“手术领航专家”倍感荣幸,更觉责任在肩!感谢我们的平台、感谢我们团队...
社会
2025-08-20 10:42
周日急诊为患者解决胆结石引起的胆绞痛!胆管结石嵌顿的疼痛有多痛?!疼痛...
2025-08-11 10:43
凌晨的急诊止血!乙肝没有系统正规治疗,消化道大出血急诊来院,大量输血...
2025-08-08 17:53
食管支架能够解决一些问题,不一定是优选!食管占位狭窄患者无法进食,拒绝...
2025-07-30 19:16
【“精”益求精,让早癌无处藏身】【“精”益求精,让早癌无处藏身】 这一...
2025-06-06 18:02
世界肠道日义诊。“最易预防”的结直肠癌,需要最及时的重视!我们力量有限...
2025-05-29 18:07
并不是所有的息肉都适合门诊切的,请不要和医生犟!
2025-03-28 08:42
老年人吞咽不畅必有妖!老年人被鲍鱼卡住,做胃镜之前就怀疑是不好的病,胃...
2025-03-27 10:15
内镜医生最有成就感的事?发现早癌!这个月做了三十台四级手术,一些疑难杂...
2025-03-01 08:56
第一页
下一页
刘喜庆好消化
感谢大家的关注
热门分类
推荐
热榜
军事
NBA
体育
社会
明星八卦
娱乐
财经
科技
汽车
历史
国际
游戏
动漫
公益
搞笑
商业
互联网
数码
国际足球
房产
家居
时尚
科学探索
职场
育儿
股票
教育
影视
情感
热点
中国军情
武器
中国南海
中国足球
亚洲杯
科比
综合体育
CBA
投资
大咖秀
外汇
创业
风口
SUV
豪车
概念车
优惠
新能源
美国
欧洲
朝日韩
俄罗斯
孕期
街拍
婚姻
正能量