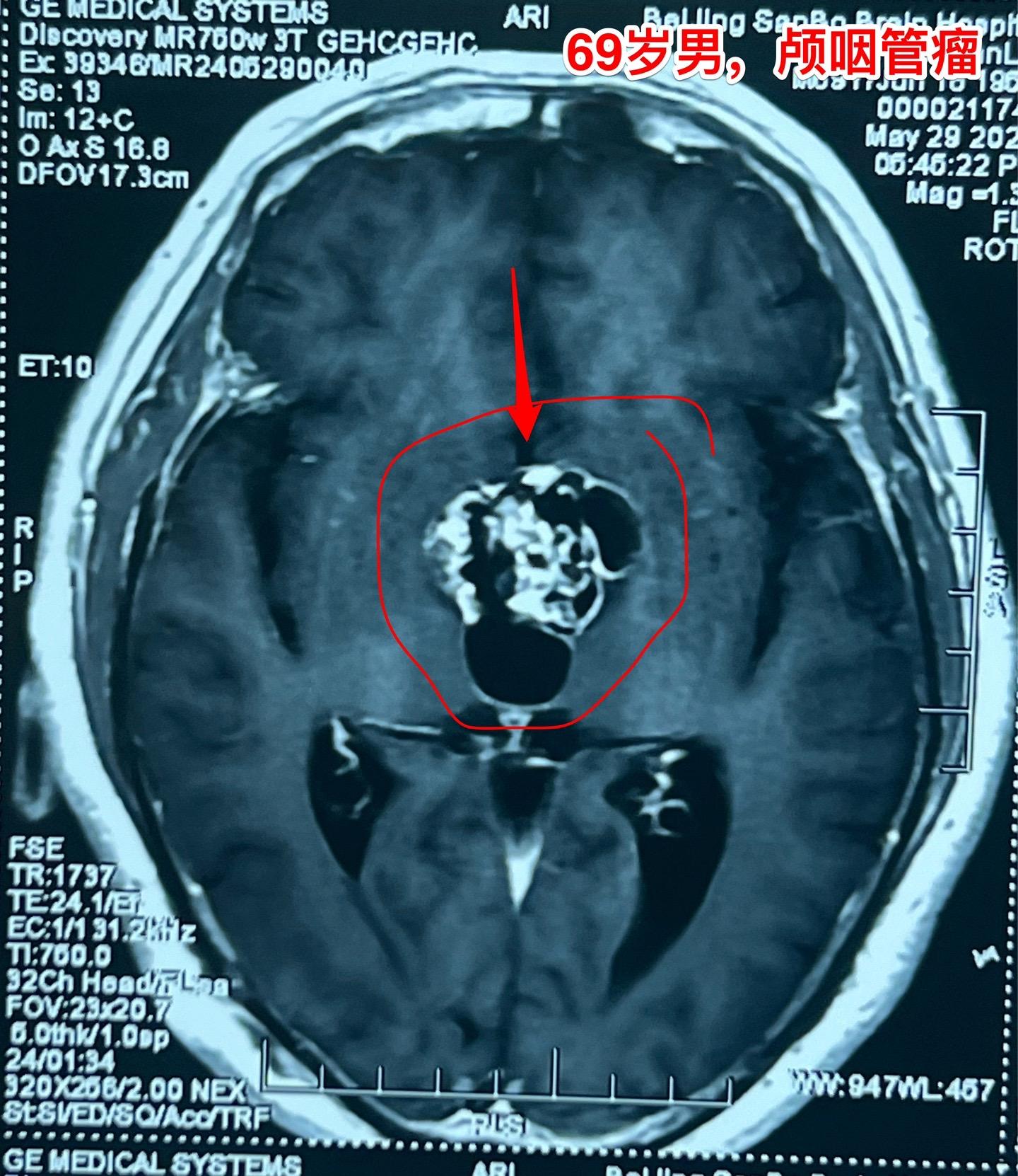
69岁发现颅咽管瘤还能作手术吗?69岁的南通市老人近半年出现记忆力差、糊涂。4月份出现尿失禁,到医院检查才发现病根儿是颅咽管瘤,肿瘤体积大,导致了脑积水。第一步在当地医院先作了脑室-腹腔分流术,治疗脑积水,尿失禁的症状有改善。 但是老人的身体很虚弱。还不能下地行走。这样的身体状态是不能承受切除颅咽管瘤这样的大手术的。 老人的女儿随后和我加后,我给予老人补充激素后,老人的身体状况才逐步改善,慢慢地能下地走路了。 不能不佩服这家人的勇气和爱心[强][强]!

神外周忠清 2024-06-12 06:07:08
69岁发现颅咽管瘤还能作手术吗?69岁的南通市老人近半年出现记忆力差、糊涂。4月份出现尿失禁,到医院检查才发现病根儿是颅咽管瘤,肿瘤体积大,导致了脑积水。第一步在当地医院先作了脑室-腹腔分流术,治疗脑积水,尿失禁的症状有改善。 但是老人的身体很虚弱。还不能下地行走。这样的身体状态是不能承受切除颅咽管瘤这样的大手术的。 老人的女儿随后和我加后,我给予老人补充激素后,老人的身体状况才逐步改善,慢慢地能下地走路了。 不能不佩服这家人的勇气和爱心[强][强]!

0 阅读:0
神外周忠清

神外周忠清

感谢大家的关注