头痛、恶心、呕吐,是颅内高压症状!7岁江西上饶的小女孩,一个月前感头痛...

神外周忠清 2024-07-24 16:49:17
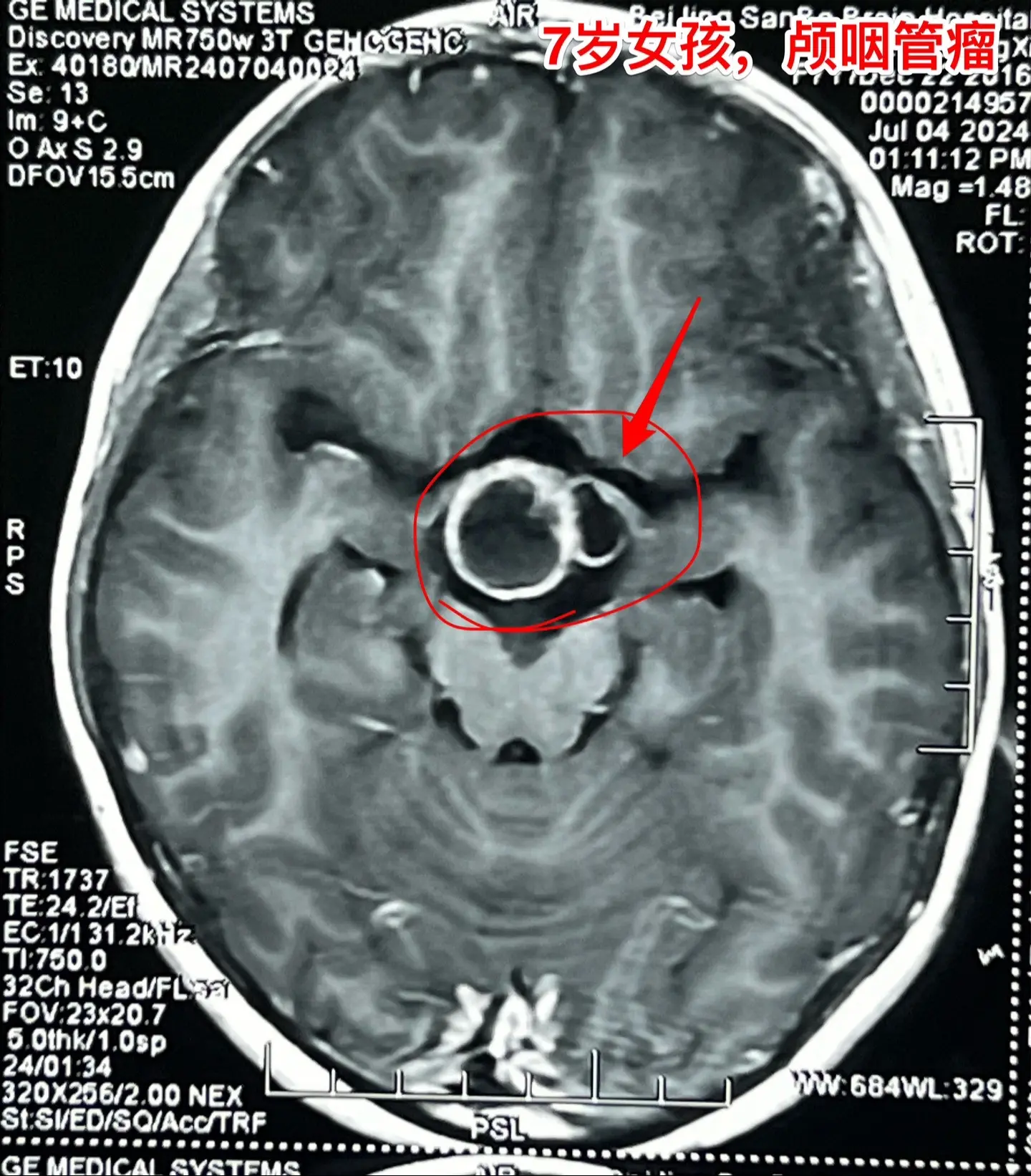
头痛、恶心、呕吐,是颅内高压症状!7岁江西上饶的小女孩,一个月前感头痛、恶心、呕吐。这是颅内高压的症状。他们到就近的医院就诊,作头部CT和磁共振,发现了颅咽管瘤,这个颅咽管瘤造成了梗阻性脑积水,颅内高压,所以小孩子出现头痛、呕吐症状。 根据头CT可以看见肿瘤内有钙化,可以确诊是典型的造釉细胞性颅咽管瘤。这样的肿瘤造成的脑积水,一般在切除肿瘤后就可以自愈,不需要专门作脑积水的手术。 2024年7月12日作了手术,肿瘤得到完全切除。 目前小孩子身体状况很好,快要出院了。

0 阅读:1
神外周忠清

神外周忠清

感谢大家的关注