世良情感网
开颅手术+2次伽马刀治疗后颅咽管瘤复发。12岁的四川女孩子,5年前发现...
神外周忠清
2024-07-08 12:53:24
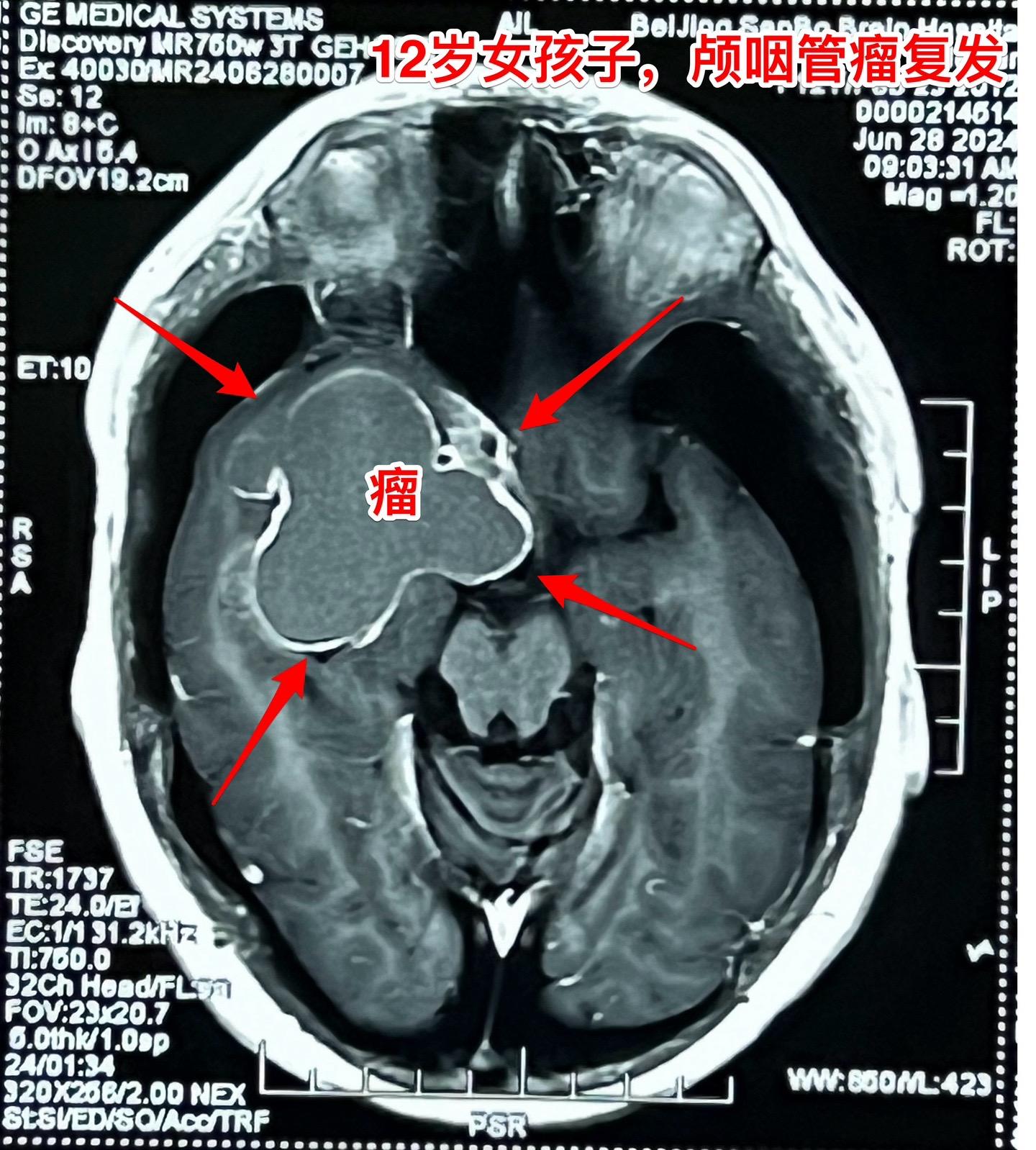
开颅手术+2次伽马刀治疗后颅咽管瘤复发。12岁的四川女孩子,5年前发现颅咽管瘤,在上海作过一次开颅手术,因颅咽管瘤残留先后作了两次伽马刀治疗。到三博脑科医院就诊时右眼已经失明了。 这样的颅咽管瘤属于难题中的难题! 肿瘤在增大,尽管切除肿瘤的难度大,我们不应该放弃,而是要积极再次手术,争取将肿瘤完全切除。 2024年7月2日作了开颅手术,将巨大肿瘤完全切除。
0
阅读:9
评论列表
《茶蘼後記
2
2024-07-10 12:21
赞!伽马刀治疗颅咽管瘤,科技改变命运
滔滔不绝
2
2024-07-10 09:39
伽马刀治疗两次都复发,还是开颅手术靠谱,现在孩子终于康复了,点赞医生
神外周忠清
感谢大家的关注
作者最新文章
1
头痛、恶心、呕吐,是颅内高压症状!7岁江西上饶的小女孩,一个月前感头痛...
2
复发的巨大颅咽管瘤,难度很大。13岁四川女孩子,2022年6月在外院行...
3
下丘脑胶质瘤术后10年未复发。24岁的小伙子在视神经-下丘脑胶质瘤手术...
4
颅咽管瘤复发了怎么就意识混乱了?安徽省宿州的女性,53岁,14年前曾经...
5
开颅手术+2次伽马刀治疗后颅咽管瘤复发。12岁的四川女孩子,5年前发现...
6
多个肿瘤灶-这样的复发颅咽管瘤是很棘手的。2岁小男孩,颅咽管瘤手术后一...
7
颅咽管瘤患者经历三次手术考上研究生。2018年11月27日在我科作颅咽...
8
颅咽管瘤与拉克氏囊肿的鉴别不容易。60岁男性,偶然因头痛作体检发现鞍区...
9
颅咽管瘤手术后8年,今年顺利完成高考。18岁许昌女生,2016年4月1...
10
颅咽管瘤复发,病人该如何面对?11岁四川女孩子,颅咽管瘤复发了! ...
热门分类
推荐
热榜
军事
NBA
体育
社会
明星八卦
娱乐
财经
科技
汽车
历史
国际
游戏
动漫
公益
搞笑
商业
互联网
数码
国际足球
房产
家居
时尚
科学探索
职场
育儿
股票
教育
影视
情感
热点
中国军情
武器
中国南海
中国足球
亚洲杯
科比
综合体育
CBA
投资
大咖秀
外汇
创业
风口
SUV
豪车
概念车
优惠
新能源
美国
欧洲
朝日韩
俄罗斯
孕期
街拍
婚姻
正能量
《茶蘼後記
赞!伽马刀治疗颅咽管瘤,科技改变命运
滔滔不绝
伽马刀治疗两次都复发,还是开颅手术靠谱,现在孩子终于康复了,点赞医生