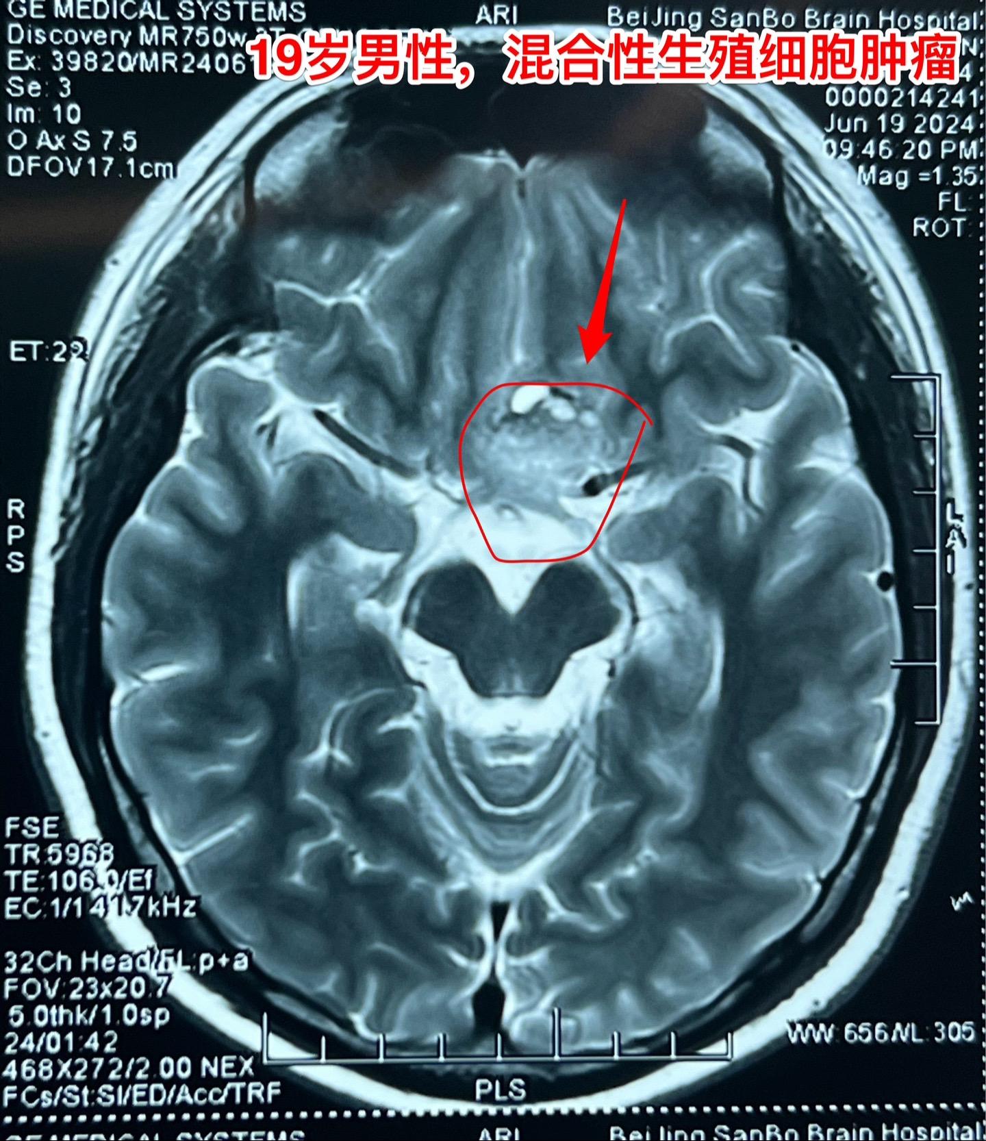
混合性生殖细胞肿瘤复发需要综合治疗。19岁莆田籍男性,三年半前还是新冠...

神外周忠清 2024-06-26 13:01:48
混合性生殖细胞肿瘤复发需要综合治疗。19岁莆田籍男性,三年半前还是新冠疫情期间,就因头痛发现松果体区肿瘤,怀疑是生殖细胞肿瘤,经过伽马刀治疗+化疗,肿瘤消失了,病人能正常上学。 2023年12月病人出现左眼视力下降,多饮多尿症状,复查磁共振显示鞍区肿瘤。取肿瘤活检提示是混合性生殖细胞肿瘤。化疗两个疗程,肿瘤体积稍微变小,停止化疗后肿瘤体积有增大,左眼视力呈恶化趋势,到北京三博来就医时左眼已经失明了。肿瘤的影像学资料见图。化验肿瘤标记物AFP、beta HCG均高于正常,这种情况下首选的是作

0 阅读:1

评论列表

关关难过关关过

关关难过关关过

2024-06-30 17:16

【肿瘤标记物检测太重要了!】化验肿瘤标记物afp、beta hcg对于诊断混合性生殖细胞肿瘤真是帮了大忙

杭东的10号座

杭东的10号座

2024-06-30 20:04

化验肿瘤标记物afp、beta hcg,高低可提示肿瘤性质,辅助诊断

每天都铲shi

每天都铲shi

2024-06-30 08:19

化验肿瘤标记物afp、beta hcg,对于诊断混合性生殖细胞肿瘤有重要作用啊

脆皮冬瓜

脆皮冬瓜

2024-06-30 15:16

肿瘤标记物afp、beta hcg,原来能帮助诊断肿瘤啊,学习了

神外周忠清

神外周忠清

感谢大家的关注