老人擀饺子皮的质量下降了,原因是什么?68岁的唐山市老人,擅长擀饺子皮...

神外周忠清 2024-08-25 12:45:30
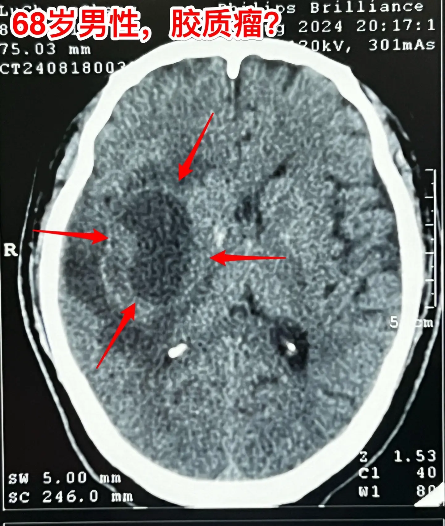
老人擀饺子皮的质量下降了,原因是什么?68岁的唐山市老人,擅长擀饺子皮、包饺子,平时擀出的饺子皮中央稍厚、四周均匀薄。然而近期他擀出的饺子皮形态不规整,厚薄一致,与平时的水准大相径庭,是什么原因呢?而且家人发现他穿鞋系鞋带动作又慢又笨拙!跟平时完全不一样。 病人的女儿在北京当医生。 到医院去检查脑部磁共振就发现脑部长了一个瘤。这个瘤位于左侧颞叶-基底节区,压迫内囊区域,虽然没有造成明显的偏瘫症状,但是也造成了左侧上下肢活动不灵活。 8.16到我这里来住院,8.23作了手术,术中的快速冰冻病理提示高级别神经上皮肿瘤,即胶质瘤的一种。 手术后老人没有出现明显的偏瘫症状。 这样的肿瘤单纯作手术是不够的,还需要作放疗、化疗。

0 阅读:1
神外周忠清

神外周忠清

感谢大家的关注