世良情感网
警惕小儿脑肿瘤。小孩子如果长了鞍区肿瘤,一般都会出现症状,一旦有了症状...
神外周忠清
2024-08-28 07:49:03
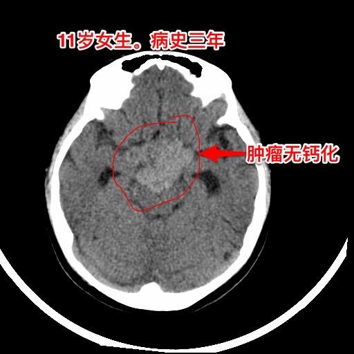
警惕小儿脑肿瘤。小孩子如果长了鞍区肿瘤,一般都会出现症状,一旦有了症状家长及医务人员就要足够重视,才能及时找到病因。 今天介绍的小孩子,肿瘤发现的就晚了。 11岁四川女孩子,因多饮多尿3年半,视力下降9个月,行走不稳、贪睡一个月发现鞍区肿瘤,急忙到北京来就医。 三年前开始出现多饮多尿症状,夜间上厕所好几次,到医院检查没有发现肾脏问题,就没有继续查找原因。 近两年身高增长缓慢,到医院化验显示生长激素缺乏,在当地医院注射生长激素治疗,没有查找生长激素
0
阅读:0
神外周忠清
感谢大家的关注
作者最新文章
1
头痛、恶心、呕吐,是颅内高压症状!7岁江西上饶的小女孩,一个月前感头痛...
2
复发的巨大颅咽管瘤,难度很大。13岁四川女孩子,2022年6月在外院行...
3
下丘脑胶质瘤术后10年未复发。24岁的小伙子在视神经-下丘脑胶质瘤手术...
4
颅咽管瘤复发了怎么就意识混乱了?安徽省宿州的女性,53岁,14年前曾经...
5
开颅手术+2次伽马刀治疗后颅咽管瘤复发。12岁的四川女孩子,5年前发现...
6
多个肿瘤灶-这样的复发颅咽管瘤是很棘手的。2岁小男孩,颅咽管瘤手术后一...
7
颅咽管瘤患者经历三次手术考上研究生。2018年11月27日在我科作颅咽...
8
颅咽管瘤与拉克氏囊肿的鉴别不容易。60岁男性,偶然因头痛作体检发现鞍区...
9
颅咽管瘤手术后8年,今年顺利完成高考。18岁许昌女生,2016年4月1...
10
颅咽管瘤复发,病人该如何面对?11岁四川女孩子,颅咽管瘤复发了! ...
热门分类
推荐
热榜
军事
NBA
体育
社会
明星八卦
娱乐
财经
科技
汽车
历史
国际
游戏
动漫
公益
搞笑
商业
互联网
数码
国际足球
房产
家居
时尚
科学探索
职场
育儿
股票
教育
影视
情感
热点
中国军情
武器
中国南海
中国足球
亚洲杯
科比
综合体育
CBA
投资
大咖秀
外汇
创业
风口
SUV
豪车
概念车
优惠
新能源
美国
欧洲
朝日韩
俄罗斯
孕期
街拍
婚姻
正能量