生殖细胞瘤对化疗很敏感,降低颅压才安全。之前我发的11岁四川女孩子,因...

神外周忠清 2024-08-28 07:53:28
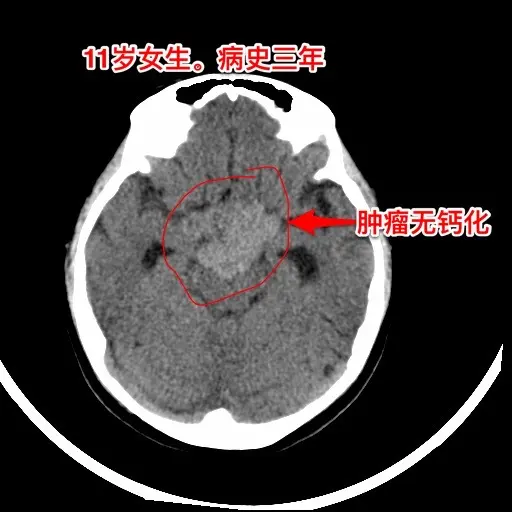
生殖细胞瘤对化疗很敏感,降低颅压才安全。之前我发的11岁四川女孩子,因多饮多尿、视力下降、多睡等症状在我科住院。住院后经用药物治疗,精神状态明显好转。 我们怀疑肿瘤为生殖细胞瘤,因肿瘤体积巨大,综合考虑病史、体检、手术风险、对化疗、放疗的敏感性,我们于8月13日给患儿作了肿瘤活检手术。 手术后病理报告为纯生殖细胞瘤,未见其他肿瘤成分(当然活检取得的标本很少,这个结论不是百分百的可靠) 8月20日开始化疗,8月21日患儿出现精神差、多睡症状,和住院前的症状相似。复查CT显示肿瘤在活检手术后继续增大,而且造成了脑积水,颅压高,见图2。此时不得不为患儿作急诊脑室外引流手术,以求降低颅压,为化疗保驾护航。随后继续化疗。 化疗的第三天,CT显示肿瘤体积有所缩小,见图4。 化疗一周后,肿瘤体积显著变小了,脑积水明显减轻了,见图5。病人的精神状态好转。拔除了脑室引流管。 希望化疗能将肿瘤完全杀灭,再结合放疗,将肿瘤完全治愈。

0 阅读:2
神外周忠清

神外周忠清

感谢大家的关注