颅咽管瘤手术,出院3天就开车,合适吗?50岁的山东临沂男性,因头痛一年...

神外周忠清 2024-09-12 12:23:47
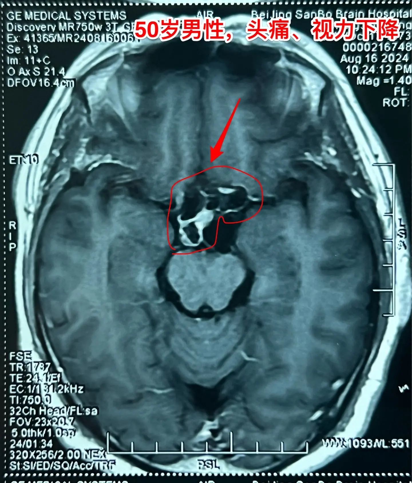
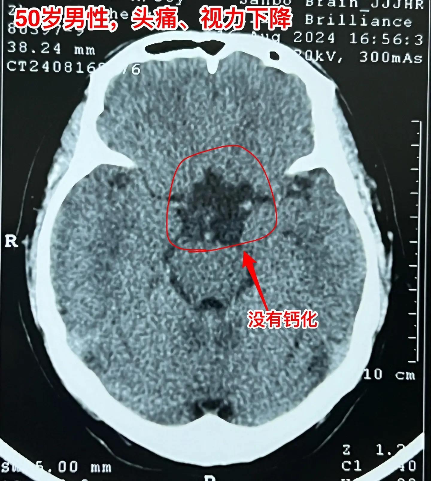
颅咽管瘤手术,出院3天就开车,合适吗?50岁的山东临沂男性,因头痛一年,左眼视力下降三个月于2024.8.16在我科住院。左眼视力0.1,右眼视力1.0。8月22日行开颅手术切除颅咽管瘤,手术后视力改善,身体恢复顺利,9月2日出院了,出院前测左眼视力0.5,右眼1.0。出院时精神好,体力好。 9月8日患者女儿和我联系,说患者出院三天就开车了。我告诉她,需要复查视力和视野,如果视野有缺损,开车是有风险的,不适合开车。

0 阅读:0
神外周忠清

神外周忠清

感谢大家的关注