髌骨软化症【髌骨软化康复】很多朋友膝盖疼痛,拍完核磁片子,然后对一些“专业术语

从蓉看健康 2025-10-29 11:58:26

髌骨软化症 【髌骨软化康复】很多朋友膝盖疼痛,拍完核磁片子,然后对一些“专业术语”很懵逼或者恐慌[跪了][跪了]今天就来简单介绍一下核磁MRI报告,代表着什么程度的髌骨软化?

0级(图1):MRI显示软骨信号均匀。

——通常无症状

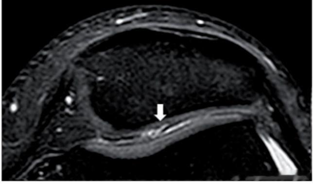
一级(图2):MRI显示软骨内信号变化,关节面完整

——可能不会引起疼痛

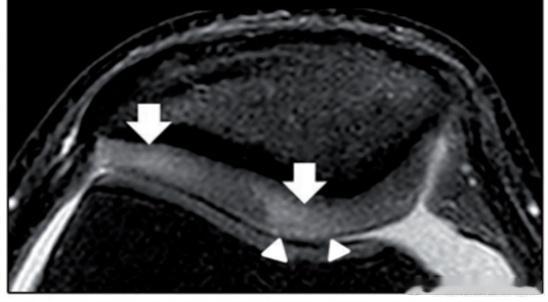
二级(图3):MRI显示关节软骨深度<50%,软骨层出现高信号的形态(裂缝、翻片、坑坑洼洼、软骨厚度丧失)

——症状:可能开始出现膝关节不适症状,活动中出现无力情况,但没有引起明显活动疼痛。

三级(图4):MRI显示关节软骨深度>50%,未达骨质层,软骨层出现高信号的形态(同上,程度深)

——症状:涉及运动过程中的不适或疼痛。

四级(图5):MRI显示全层软骨缺失,伴有下方骨反应性改变

——症状:活动疼痛,导致活动能力下降。

还要多强调两点:

1.我们大多数人毕竟是普通患者,学着看片子只是就医过程的一个辅助,专业的诊断还是要交给医生和康复师。

2.不要过分依赖片子,具体的诊断也要结合实际评估查体,我们解决的是症状,所以还是要从损伤本身入手,找到原因,对症治疗[并不简单][并不简单]膝关节康复健闻登顶计划

0 阅读:0
从蓉看健康

从蓉看健康

感谢大家的关注