一天作三个颅咽管瘤手术有什么感觉?医生的感觉就是累!
视频中展示出来的是第一个和第三个病人的影像学资料。
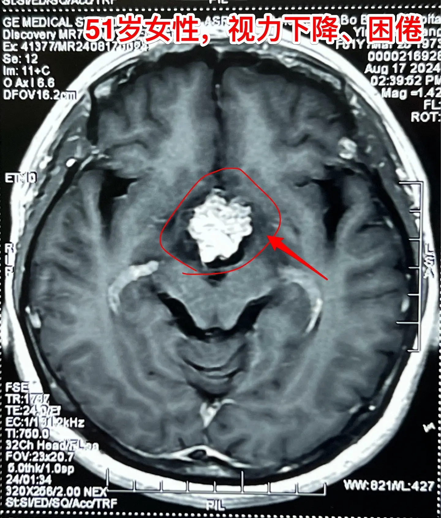
第一个病人女性,51岁,山东人。患者的弟弟就是神经外科医生。病人因为视力下降、困倦、无精打采到医院检查发现颅咽管瘤,是乳头型颅咽管瘤。患者家人一致要求作开颅手术切除颅咽管瘤。今天的手术很顺利,颅咽管瘤得到完全切除,晚上病人作完了CT就从ICU转到普通病房了。
今天的第三个手术病人也是山东人,55岁男性,他的女儿也是医生。之前作过一次开颅手术、一次经鼻手术切除颅咽管瘤。这次因视力下降发现肿瘤复发了,找我作手术。这样的手术难度自然是很高的。今天顺利将肿瘤完全切除了。颅咽管瘤视力下降











