颅咽管瘤第七次开颅手术,恢复顺利。20岁女性,广东省东莞人。不幸的孩子...

神外周忠清 2024-09-13 13:35:37
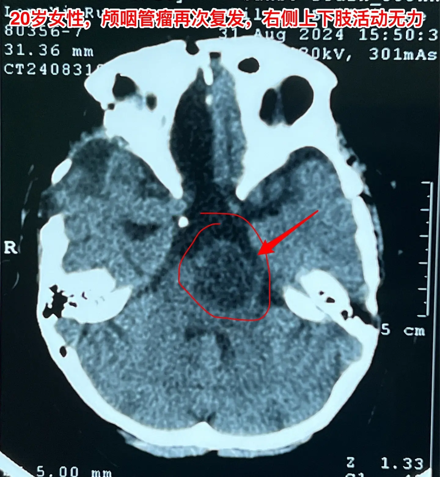
颅咽管瘤第七次开颅手术,恢复顺利。20岁女性,广东省东莞人。不幸的孩子,患颅咽管瘤,10年时间内第七次作手术。 第一次、第二次手术在广州市某医院作的。从2016年开始在我科先后作了四次手术。 三个月前患者出现贫血、头晕,在广东省查胃镜,发现食道静脉曲张、出血,有严重的贫血,还怀疑肝脏硬化。 今年八月患者出现左侧面部麻木、右侧上下肢活动力弱,8.24磁共振显示肿瘤复发,而且肿瘤嵌入脑干内。8.30患者来到三博脑科医院住院,还能自己行走。住院后症状进展很快,不能独立行走。 9月6日为她作了手术。这是第七次开颅手术。手术中将肿瘤完全切除。 虽然患者体质很弱,令人惊奇的是,术后她居然恢复很顺利,精神状态好,右侧上下肢无力症状明显改善,一天比一天好,现在能独立行走。很快就能出院了。但愿肿瘤不再复发了!

0 阅读:5
神外周忠清

神外周忠清

感谢大家的关注