海绵窦区神经鞘瘤,是良性肿瘤。69岁青岛市老太太经常感到头痛,不太剧烈...

神外周忠清 2024-09-18 00:12:18
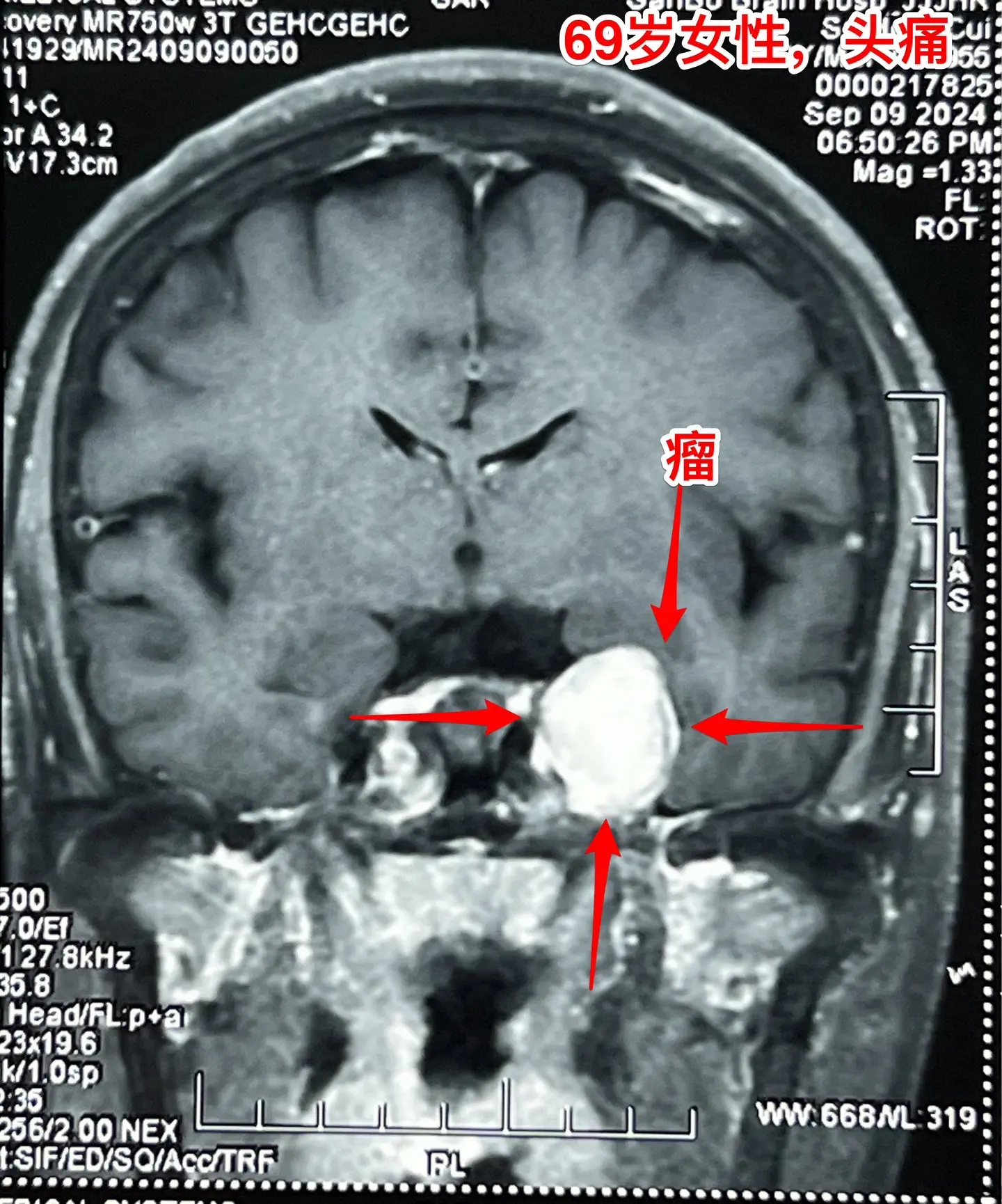
海绵窦区神经鞘瘤,是良性肿瘤。69岁青岛市老太太经常感到头痛,不太剧烈,没有专门去检查。九月份检查脑部磁共振发现左侧海绵窦长了肿瘤。在我院住院后作了强化磁共振,看见左侧海绵窦内有个大肿瘤,见图,考虑是神经鞘瘤,神经鞘瘤是良性肿瘤,如果完全切除了就可以治愈。 老太太有两个女儿,积极要求给她作手术。69岁年龄还是有点大,手术是有风险的! 9月12日下午四点开始进入手术室,手术持续到13日凌晨才结束。手术过程很顺利,肿瘤得到完全切除。今天看见老太太精神比较好,准备下地行走。神经鞘瘤海绵窦

0 阅读:0
神外周忠清

神外周忠清

感谢大家的关注