57岁男性,颅咽管瘤导致视力下降。病人因视力下降、消瘦到外院检查发现颅...

神外周忠清 2024-10-06 23:36:53
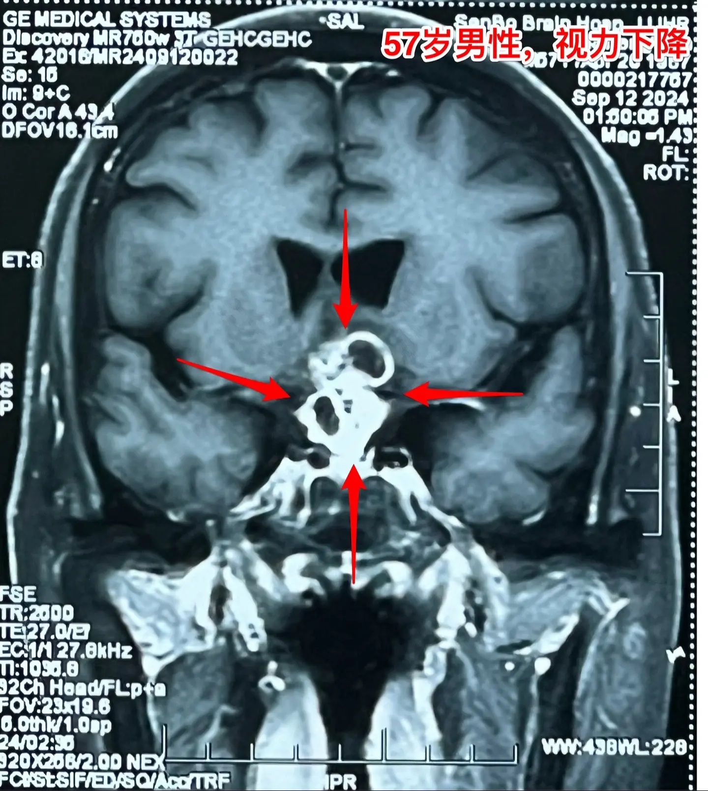
57岁男性,颅咽管瘤导致视力下降。病人因视力下降、消瘦到外院检查发现颅咽管瘤。如图所示,肿瘤体积比较大,有大量的钙化斑,是典型的造釉性颅咽管瘤。2024.9.20在我院行开颅手术,将颅咽管瘤完全切除。手术后患者视力明显改善了。十一前已经出院了,出院前体重有增长。

0 阅读:0
神外周忠清

神外周忠清

感谢大家的关注