国庆节长假后第一天完成两个手术。一个手是33岁女性,来自云南省香格里拉...

神外周忠清 2024-10-09 00:16:39
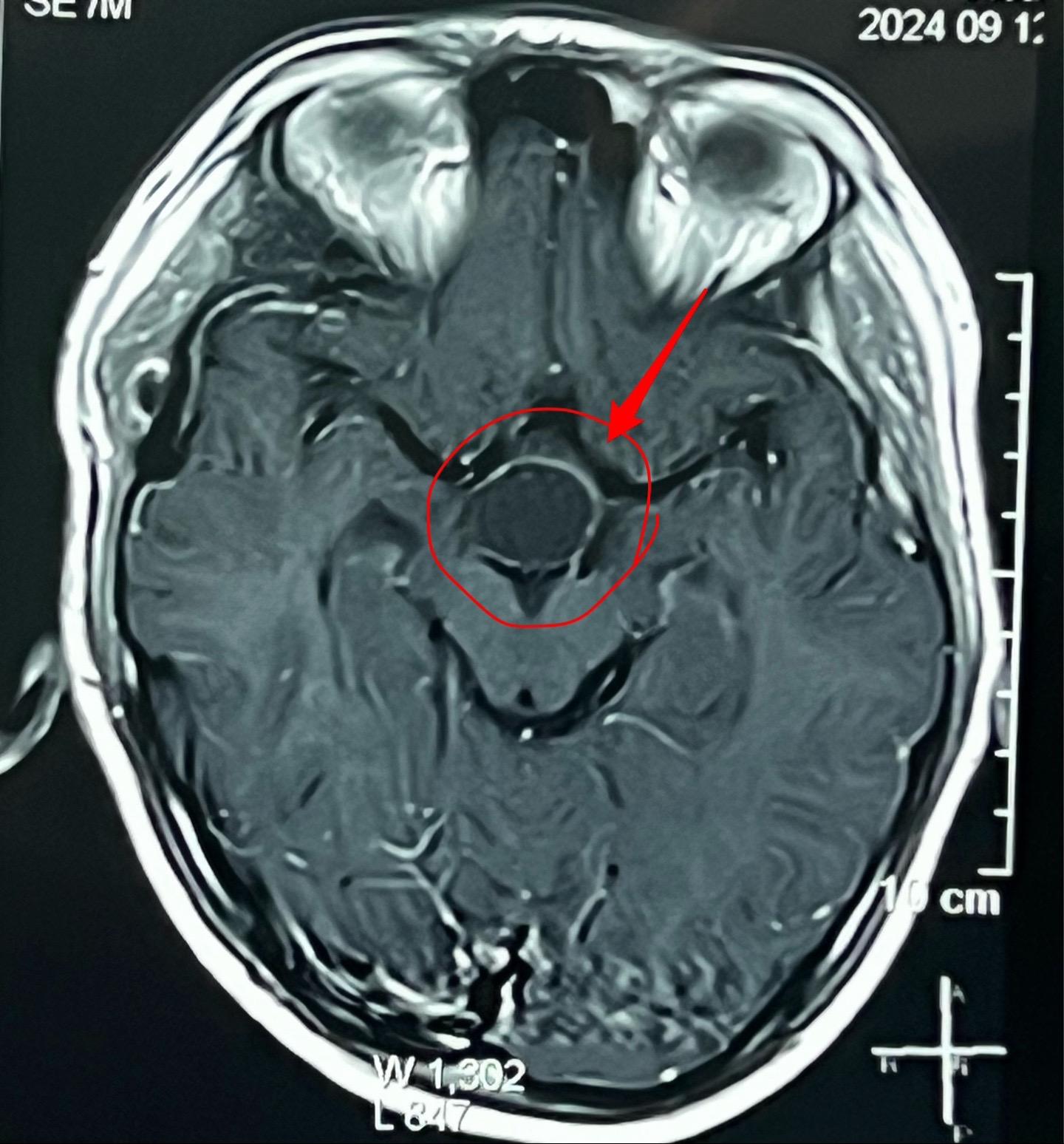
国庆节长假后第一天完成两个手术。一个手是33岁女性,来自云南省香格里拉。因左眼视力下降,到医院检查发现鞍区肿瘤,怀疑是颅咽管瘤。病人没有内分泌功能障碍。影像学上肿瘤是实性的,没有钙化,而且可以看见垂体信号。到底是什么肿瘤呢?今天手术中取肿瘤标本作快速冰冻病理检查,报告是垂体瘤。肿瘤得到完全切除,手术后病人视力好转了。 另一个手术是11岁男孩子,颅咽管瘤复发。经原切口翼点入路将肿瘤完全切除。术前磁共振只看见一个圆形肿瘤,术中发现除了这个肿瘤外还有5个散在的钙化斑,均得到完全切除。这样的散在钙化斑是潜在的危险因

0 阅读:1
神外周忠清

神外周忠清

感谢大家的关注