松果体区的绒毛膜癌(绒癌)很罕见。通常情况下,绝大多数的绒癌与女性怀孕...

神外周忠清 2024-11-21 23:31:25
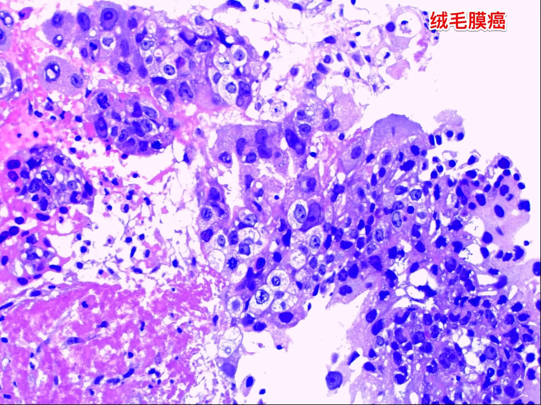
松果体区的绒毛膜癌(绒癌)很罕见。通常情况下,绝大多数的绒癌与女性怀孕过程的滋养细胞有关系,可以造成子宫内出血。 但是,脑部有一种恶性肿瘤称为绒癌,是生殖细胞肿瘤中的一种,很罕见,一般见于鞍区和松果体区。 这个11岁济宁市的男孩子于2024年10月底18日突发头痛、恶心、呕吐,在当地医院行头部CT检查发现了脑部有出血,出血的位置位于松果体区及第三脑室里,和普通的脑出血位置不一样。经过急诊手术(脑室外引流术)后保住了生命。磁共振检查显示松果体区有个肿瘤,考虑是肿瘤卒中出血了。转到我院化验HCG,达到正常值的600多倍。 2024年10月27日在我科作了手术,将肿瘤切除了,手术后小男孩身体恢复顺利,HCG逐步下降到正常范围。病理报告是纯绒癌! 这个脑部的绒癌是生殖细胞肿瘤中的一种,恶性度高,手术后需要作化疗+放疗。

0 阅读:0
神外周忠清

神外周忠清

感谢大家的关注