颅咽管瘤四次复发,为挽救视力只能作手术。28岁的四川小伙子,因颅咽管瘤...

神外周忠清 2024-11-23 11:45:27
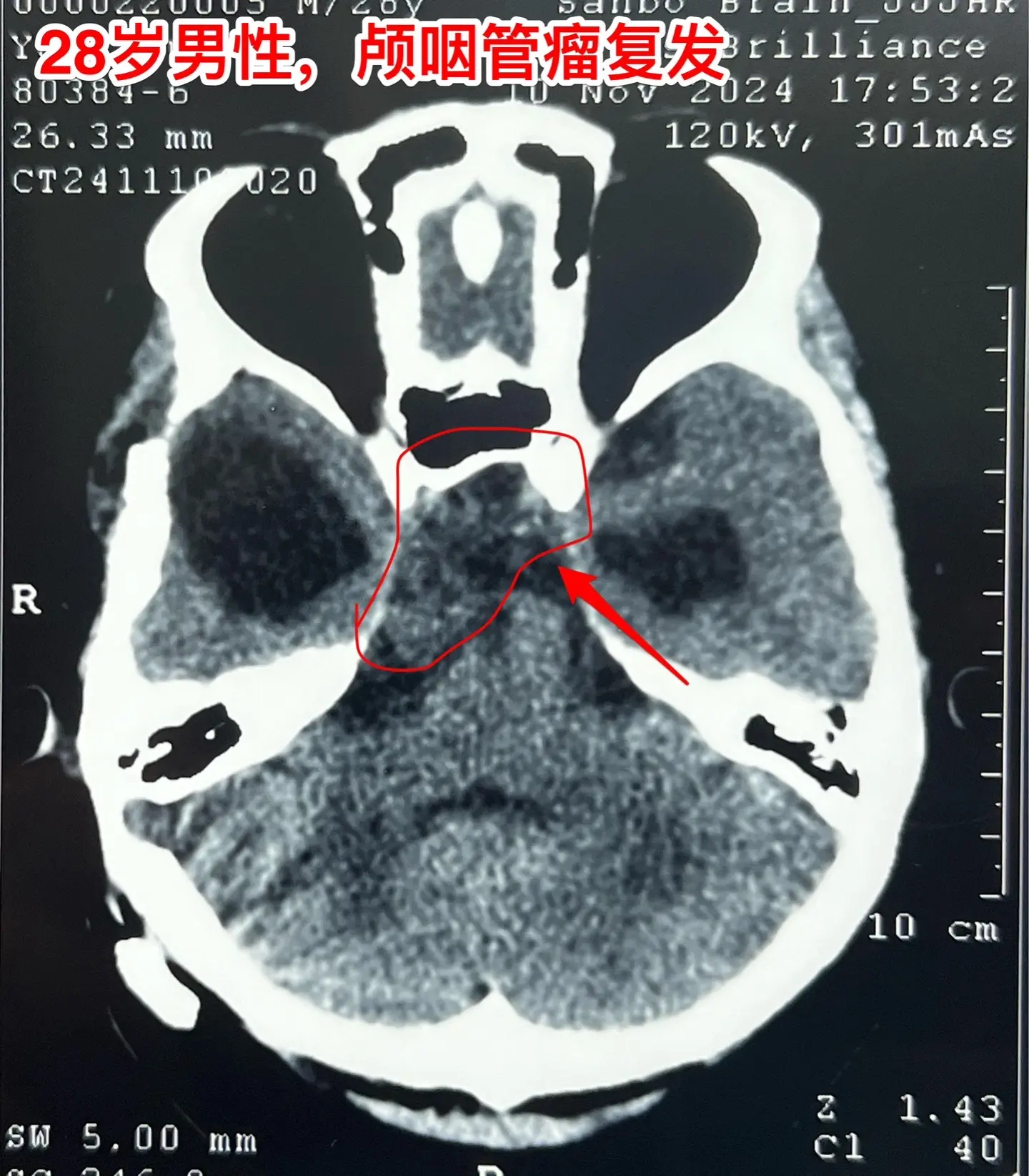
颅咽管瘤四次复发,为挽救视力只能作手术。28岁的四川小伙子,因颅咽管瘤在四川省先后作了四次开颅手术、一次脑室腹腔分流术。2024.6因肿瘤复发还作了一次伽马刀治疗,2024.9复查磁共振显示肿瘤体积在增大。 患者左眼已经失明了,右眼视力也在下降。为了挽救视力,他还是找我想再作一次手术,而且他的心态还是积极乐观的。 11月19日作了手术。原以为这个颅咽管瘤是不可能得到完全切除的,然而手术过程中却发现肿瘤不是一个整体,而是由四块肿瘤组成的,通过各个击破的方式将肿瘤完全切除了。病人右眼的视力也保住了。 希望肿瘤不再复发了!

0 阅读:5
神外周忠清

神外周忠清

感谢大家的关注