一天两个颅咽管瘤手术医生是很辛苦的今天按计划作了两个颅咽管瘤手术。这...

神外周忠清 2025-02-21 11:14:45
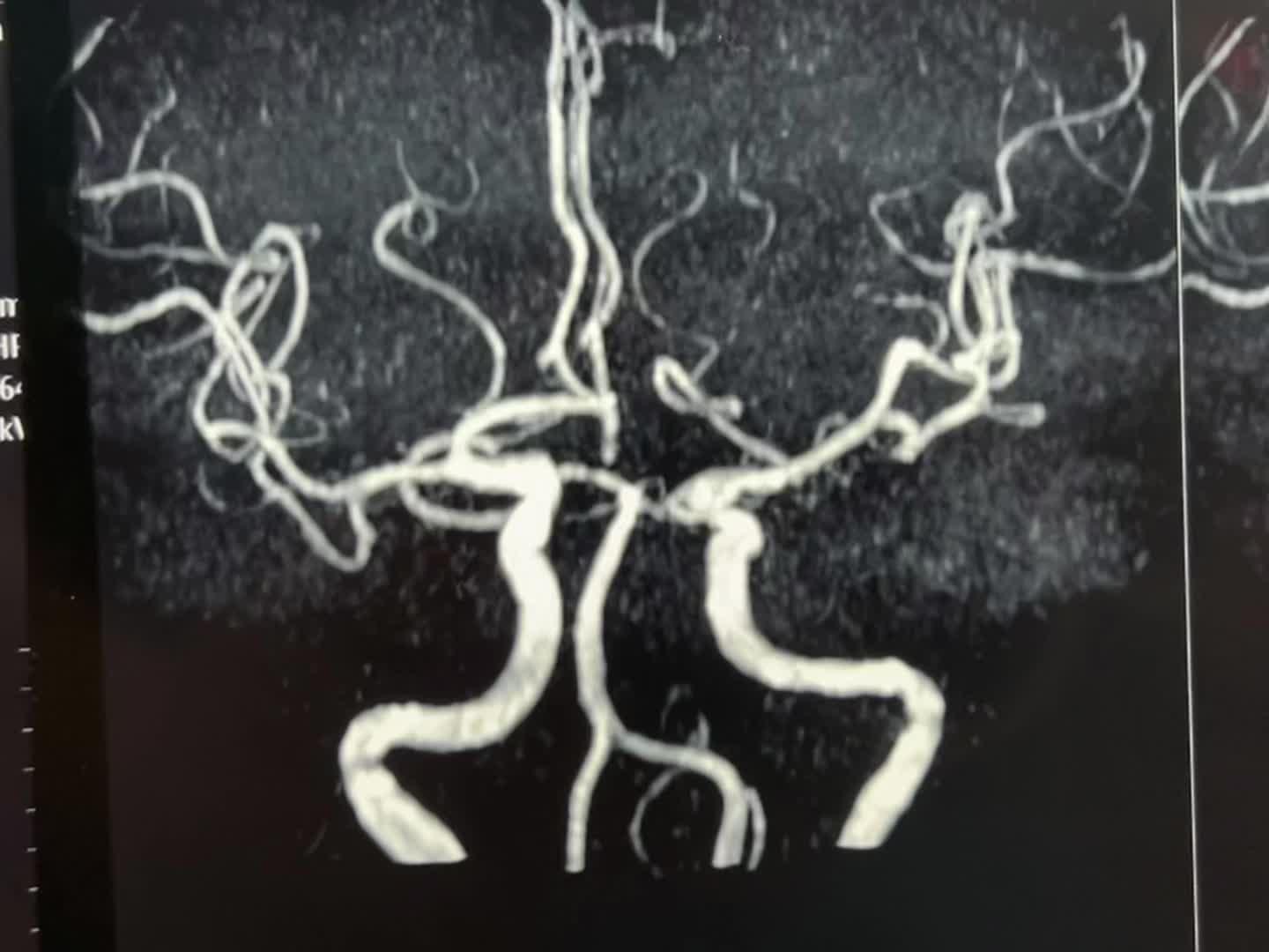
一天两个颅咽管瘤手术医生是很辛苦的 今天按计划作了两个颅咽管瘤手术。这是第二个病人,云南省文山州的警察,因记忆力差、爱睡觉、视力下降到医院检查发现了颅咽管瘤,是乳头型颅咽管瘤。 今天晚上九点多钟颅咽管瘤完全切除了,同时发现前交通动脉有个小动脉瘤,征得家人同意后作了动脉瘤夹闭术。期望病人一切都好!

0 阅读:13