昨天的第四个手术(经鼻复发颅咽管瘤)昨日第四个完成的手术,是38岁女性...

神外周忠清 2025-03-09 11:25:15
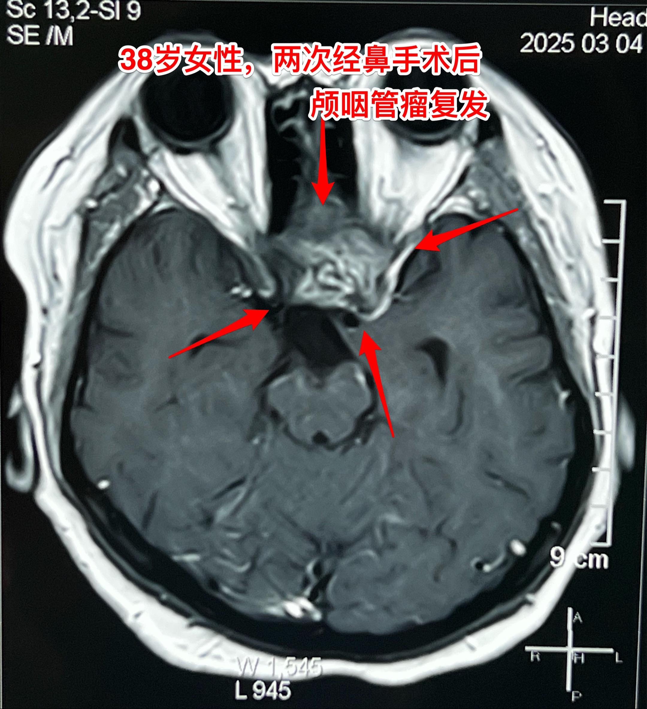
昨天的第四个手术(经鼻复发颅咽管瘤)昨日第四个完成的手术,是38岁女性,因为颅咽管瘤在北京某军医院先后作了两次经鼻内镜手术切除肿瘤。过年后发现肿瘤又复发了,见图。病人的左眼视力很差,属于无效视力。 手术结束时已是今日凌晨了!肿瘤从垂体窝向左侧生长,得到完全切除! 今日头部CT结果是满意的,病人从ICU转回了普通病房。希望肿瘤不再复发。

0 阅读:10