3月28日两个颅咽管瘤手术两个都是经鼻手术手术后复发的颅咽管瘤手术。...

神外周忠清 2025-03-30 12:09:22
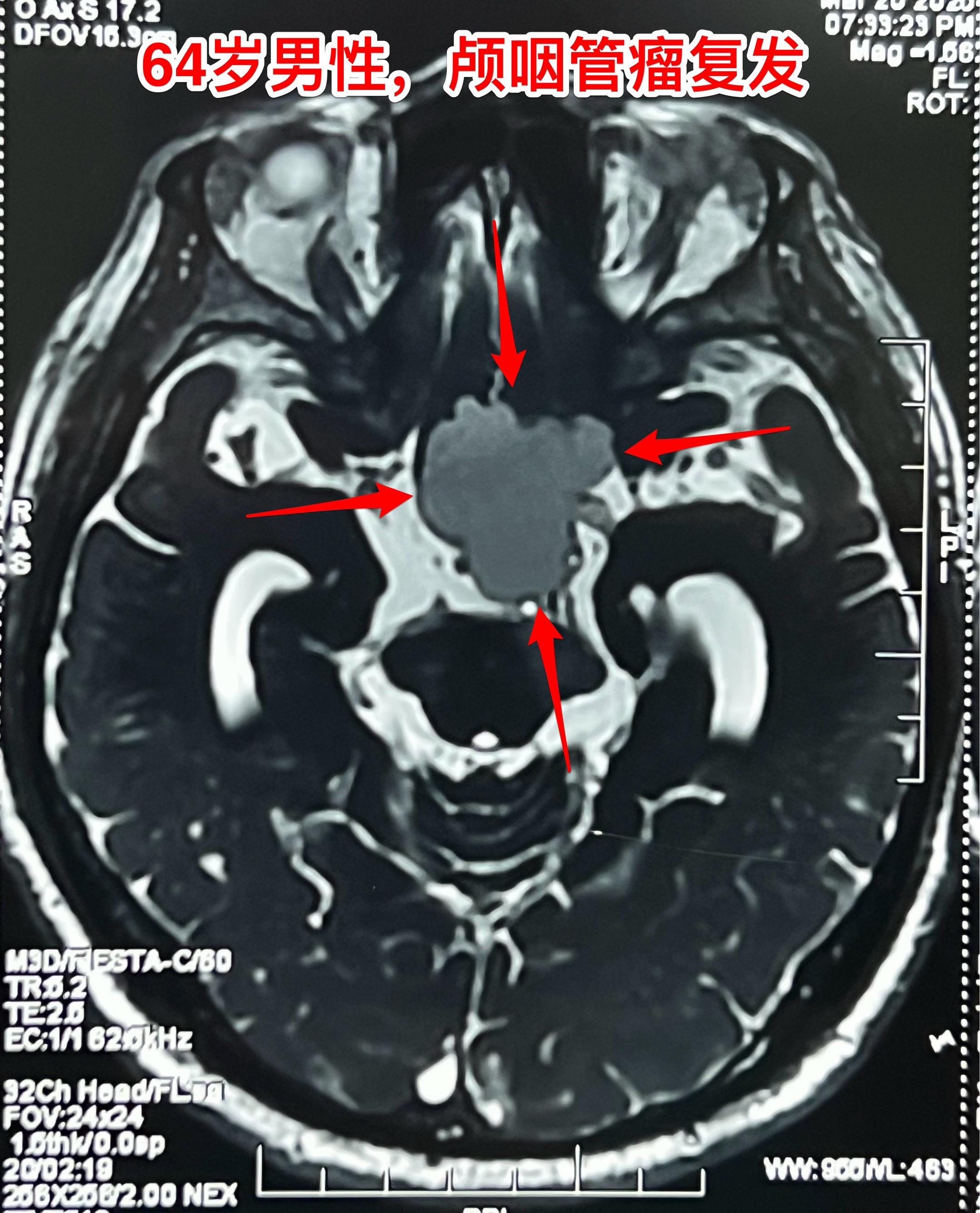
3月28日两个颅咽管瘤手术 两个都是经鼻手术手术后复发的颅咽管瘤手术。我采用了开颅手术。 第一个是64岁山西人,颅咽管瘤手术后再次出现视力下降,复查磁共振显示肿瘤复发。肿瘤是囊性乳头型颅咽管瘤,没有钙化。 第二个是32岁的湖南小伙。肿瘤有钙化。 今年春节后我科颅咽管瘤中经鼻手术后复发的病人比例明显升高了。与近十年经鼻内镜手术广泛开展是有关系。 无论是哪种手术方案,只有效果好、复发率低,病人才会满意。

0 阅读:2