世良情感网
3次复发的颅咽管瘤也要积极治疗。16岁杭州女生,因颅咽管瘤于10年前在...
神外周忠清
2024-10-13 12:30:31
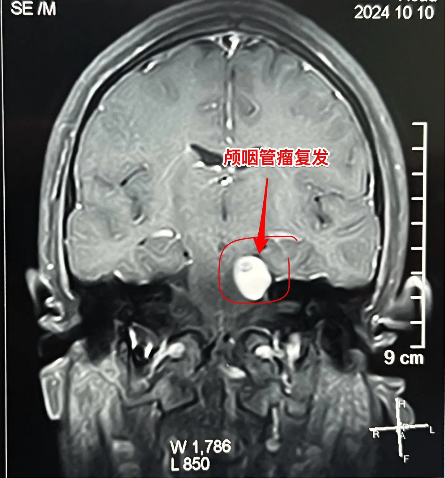
3次复发的颅咽管瘤也要积极治疗。16岁杭州女生,因颅咽管瘤于10年前在外院行开颅手术。8年前发现颅咽管瘤复发(在右侧额叶-鞍区)在我科作了手术,随后多年复查磁共振,7年内均未见肿瘤复发。本以为她的颅咽管瘤已经得到治愈,不曾想八个月前行磁共振检查发现肿瘤有复发迹象,体积很小,观察八个月常规复查磁共振发现肿瘤体积增大了许多,见图,肿瘤起源于左侧桥脑-中脑表面,和普通的颅咽管瘤位置不同。 10月11日作了手术,将这个复发肿瘤彻底切除了。手术后女孩子恢复很顺利,希望经过三次手术后肿瘤不再复发。
0
阅读:0
神外周忠清
感谢大家的关注
作者最新文章
1
今日两个颅咽管瘤手术。1,6岁男孩子,安徽宿州人。2023年5月因视力...
2
玉环市病人小脑出血后检查发现脑动脉瘤。64岁女性,浙江省玉环市人。4个...
3
3次复发的颅咽管瘤也要积极治疗。16岁杭州女生,因颅咽管瘤于10年前在...
4
一天完成两个颅咽管瘤手术几乎成了常态。今天的两个颅咽管瘤手术,强度很大...
5
国庆节长假后第一天完成两个手术。一个手是33岁女性,来自云南省香格里拉...
6
57岁男性,颅咽管瘤导致视力下降。病人因视力下降、消瘦到外院检查发现颅...
7
颅咽管瘤不是按匀速生长,进展很难预料。15岁的福建龙岩市女生,因颅咽管...
8
漳州市女孩子脑部长了巨大的颅咽管瘤。7岁漳州市女孩子,入院前两个月经常...
9
昆明男孩在14个月时间内两次大手术。昆明的8岁男孩子,2023.3在昆...
10
36岁玉溪市女性,颅咽管瘤手术后视力改善。一开始出现内分泌紊乱,随后出...
热门分类
推荐
热榜
军事
NBA
体育
社会
明星八卦
娱乐
财经
科技
汽车
历史
国际
游戏
动漫
公益
搞笑
商业
互联网
数码
国际足球
房产
家居
时尚
科学探索
职场
育儿
股票
教育
影视
情感
热点
中国军情
武器
中国南海
中国足球
亚洲杯
科比
综合体育
CBA
投资
大咖秀
外汇
创业
风口
SUV
豪车
概念车
优惠
新能源
美国
欧洲
朝日韩
俄罗斯
孕期
街拍
婚姻
正能量