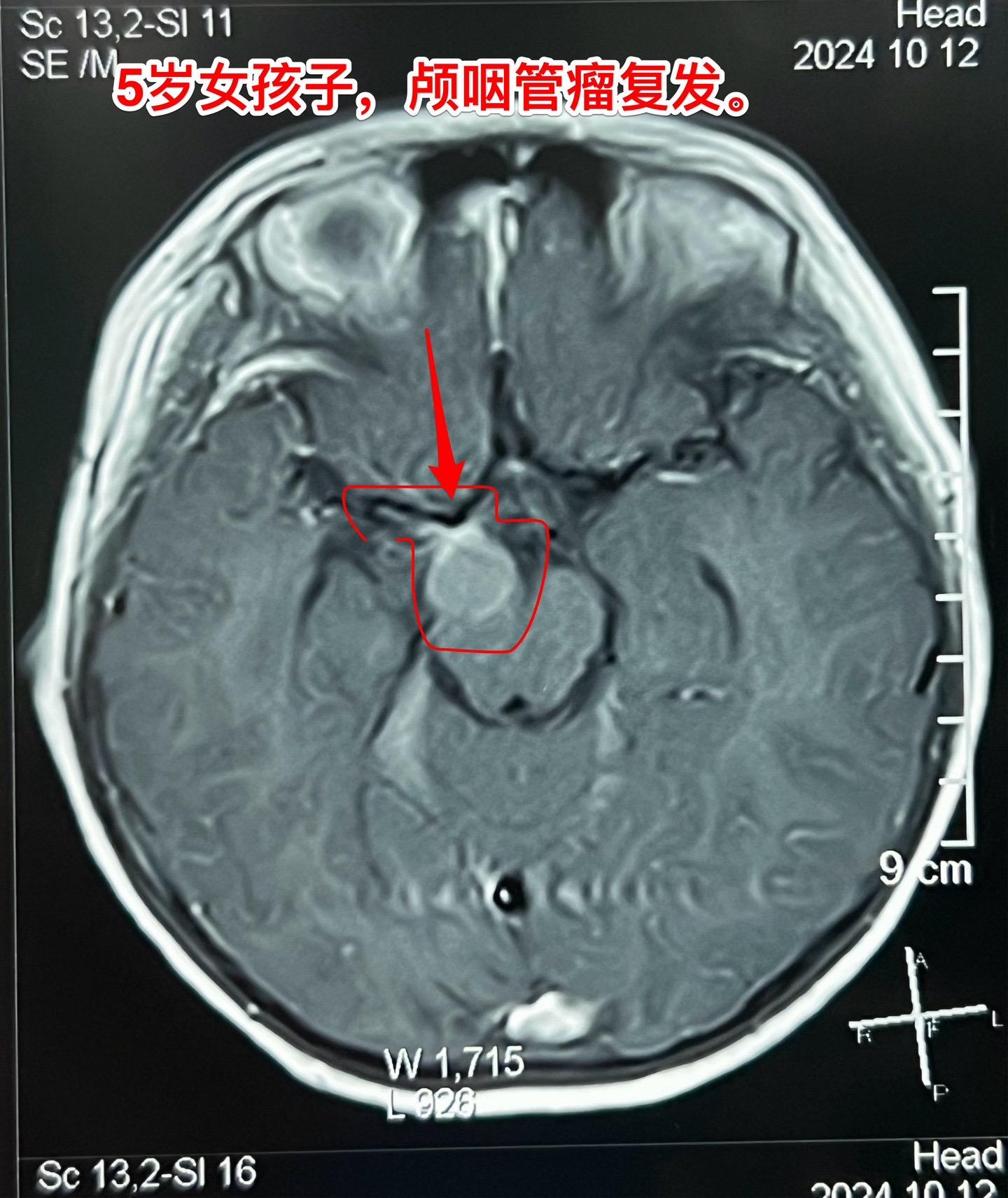
复发颅咽管瘤的手术难度好判断吗?5岁广州的女孩子,颅咽管瘤复发了。第一...

神外周忠清 2024-10-20 11:44:45
复发颅咽管瘤的手术难度好判断吗?5岁广州的女孩子,颅咽管瘤复发了。第一次手术在广州市某医院作的。现有的CT和磁共振显示肿瘤是一个囊,体积也不大。 这样的复发颅咽管瘤手术难度大吗? 一眼看上去,这个颅咽管瘤切除的难度似乎不大。但是在手术过程中发现,肿瘤与周围组织粘连紧密,分离过程很是艰难。 另外还有一个更难的难题,那就是这个肿瘤周围及其它位置有很多个散在的细小钙化斑。术中所见的钙化及肿瘤虽然切除了,术野之外的地方是不是还潜藏着钙化呢? 所以,复发

0 阅读:0
神外周忠清

神外周忠清

感谢大家的关注