世良情感网
神外周忠清的文章
拔牙造成脑脓肿?脑脓肿一般不需要开颅手术。脑脓肿比起脑肿瘤,危害性一点...
2024-09-09 07:57
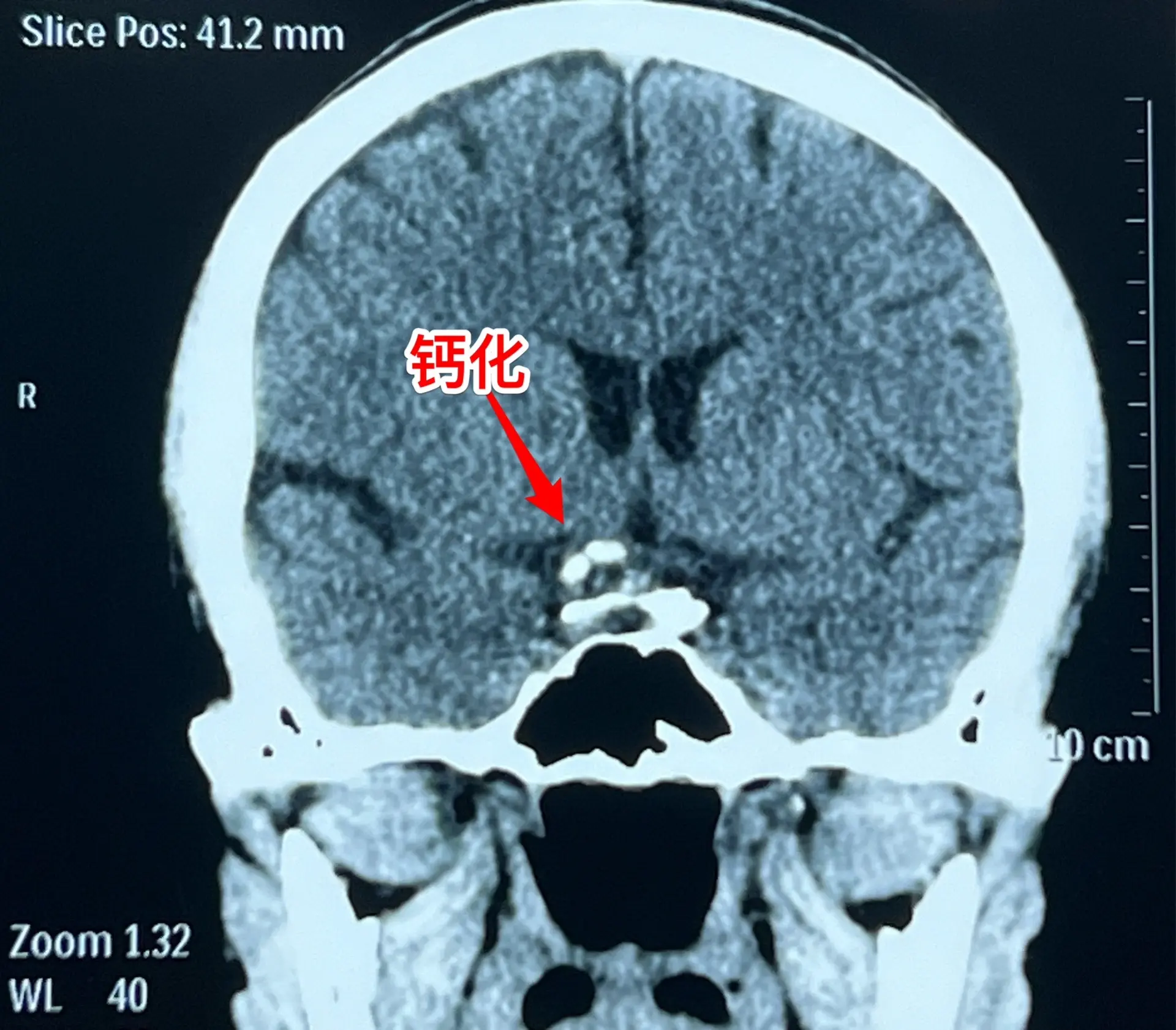
颅咽管瘤与拉克氏囊肿好鉴别吗?典型的造釉细胞型颅咽管瘤有钙化,与拉克氏...
2024-09-08 13:22
33岁医护人员患颅咽管瘤,压力大不大?33岁潍坊市女性,医护专业人员。...
2024-09-07 14:08
男生高考后想打工,居然发现脑部长瘤了。18岁四川男生,高考后到北京来投...
2024-09-04 11:49
发现未破裂的脑动脉瘤就要作手术吗?慎重!40岁以上的人群中作CTA或者...
2024-09-03 08:12
动脉瘤SAH可不是小病,要重视。50岁山西男性,8月19日突发头痛伴呕...
2024-09-02 12:28
生殖细胞瘤对化疗很敏感,降低颅压才安全。之前我发的11岁四川女孩子,因...
2024-08-28 07:53
老人擀饺子皮的质量下降了,原因是什么?68岁的唐山市老人,擅长擀饺子皮...
2024-08-25 12:45
一天作三个颅咽管瘤手术有什么感觉?医生的感觉就是累! 视...
2024-08-23 13:00
中元节是不是不适合作手术?昨天8月18号是中元节,我们科在上周提前安排...
2024-08-20 00:20
巨大的颅咽管瘤。45岁浙江女性,在外院作了颅咽管瘤手术不到一年,作磁共...
2024-08-18 12:12
头晕、吞咽困难、行走不稳、大小便障碍。20岁漳州的小伙子,2个月前出现...
2024-08-16 15:27
警惕小儿脑肿瘤。小孩子如果长了鞍区肿瘤,一般都会出现症状,一旦有了症状...
2024-08-28 07:49
38岁女性脑部发现肿瘤、平时心跳很慢。38岁女性,西乌珠穆沁旗牧民,因...
2024-08-11 14:17
2岁孩子颅咽管瘤复发不得不接受手术。2岁多的山东女孩子,在颅咽管瘤手术...
2024-08-11 14:28
颅咽管瘤复发导致听力下降眼睑下垂。2024年7月30日 16岁男孩子颅...
2024-08-04 23:43
室管膜瘤是良性肿瘤还是恶性肿瘤?41岁的青海省病人,在八年前作过一次开...
2024-07-30 11:31
多饮多尿症状是肾脏出了毛病了?53岁的青岛男性,多饮多尿两年了。是不是...
2024-07-29 23:17
颅咽管瘤经鼻手术后8个月复发视力严重受损。27岁的甘肃小伙子因视力下降...
2024-07-27 23:26
一天两台颅咽管瘤手术对于我们科是常态!7月24日我们科按常规安排了两台...
2024-07-26 11:35
第一页
下一页
神外周忠清
感谢大家的关注
热门分类
推荐
热榜
军事
NBA
体育
社会
明星八卦
娱乐
财经
科技
汽车
历史
国际
游戏
动漫
公益
搞笑
商业
互联网
数码
国际足球
房产
家居
时尚
科学探索
职场
育儿
股票
教育
影视
情感
热点
中国军情
武器
中国南海
中国足球
亚洲杯
科比
综合体育
CBA
投资
大咖秀
外汇
创业
风口
SUV
豪车
概念车
优惠
新能源
美国
欧洲
朝日韩
俄罗斯
孕期
街拍
婚姻
正能量