世良情感网
神外周忠清的文章
16岁女生在10岁时就有生长发育迟缓症状。16岁衡阳市女生,现在身高才...
2024-11-24 12:05
颅咽管瘤四次复发,为挽救视力只能作手术。28岁的四川小伙子,因颅咽管瘤...
2024-11-23 11:45
松果体区的绒毛膜癌(绒癌)很罕见。通常情况下,绝大多数的绒癌与女性怀孕...
2024-11-21 23:31
颅咽管瘤不单单是小孩子得的病!很多人认为颅咽管瘤是小孩子得的病,其实各...
2024-11-21 23:39
脑血管病很常见,预防胜于治疗。缺血性脑血管病很常见,致死致残,危害性极...
2024-11-20 08:02
四岁男孩子右侧上下肢有点偏瘫症状!四岁苏州市男孩子出现视力下降、左侧眼...
2024-11-18 11:41
孩子生长发育缓慢,家长要重视。这个12岁的男孩子,在深圳生活,平时爱运...
2024-11-17 11:59
颅咽管瘤内出血(瘤卒中)属于罕见现象。有些脑部肿瘤容易出血,称之为瘤卒...
2024-11-16 11:47
三博论坛圆满结束!2024年是三博脑科医院成立二十周年。 ...
2024-11-11 00:16
病友报喜,baby降生了,母子平安!武汉的女性病友因头痛在2018年5...
2024-11-06 11:40
34岁广州男性颅咽管瘤复发。一年前他在广州市某医院行开颅手术切除颅咽管...
2024-11-03 11:54
60岁连云港市的老人视力下降⬇️。老人自幼右眼受伤了,右眼视力属于无效...
2024-11-02 08:23
10个月大的宝宝视力下降能不能被家长发现。可以肯定,10个月大的宝宝...
育儿
2024-11-01 11:59
33岁颅咽管瘤患者终于下决心作手术了。洛阳市的女教师,2021年因内分...
2024-10-30 11:50
金乡县11岁男孩子突发 脑部出血。天有不测风云! 11岁男孩子,山东省...
2024-10-29 11:46
鞍区高密度囊肿-高密度不等于钙化。拉克氏囊肿在CT扫描中大多数呈低密度...
2024-10-25 23:43
鞍隔下颅咽管瘤有特点。鞍隔下型颅咽管瘤有特点,肿瘤在鞍隔下,切除肿瘤时...
2024-10-22 12:00
鞍隔下型颅咽管瘤经翼点入路切除合适吗?13岁的山东省菏泽市男孩子,九年...
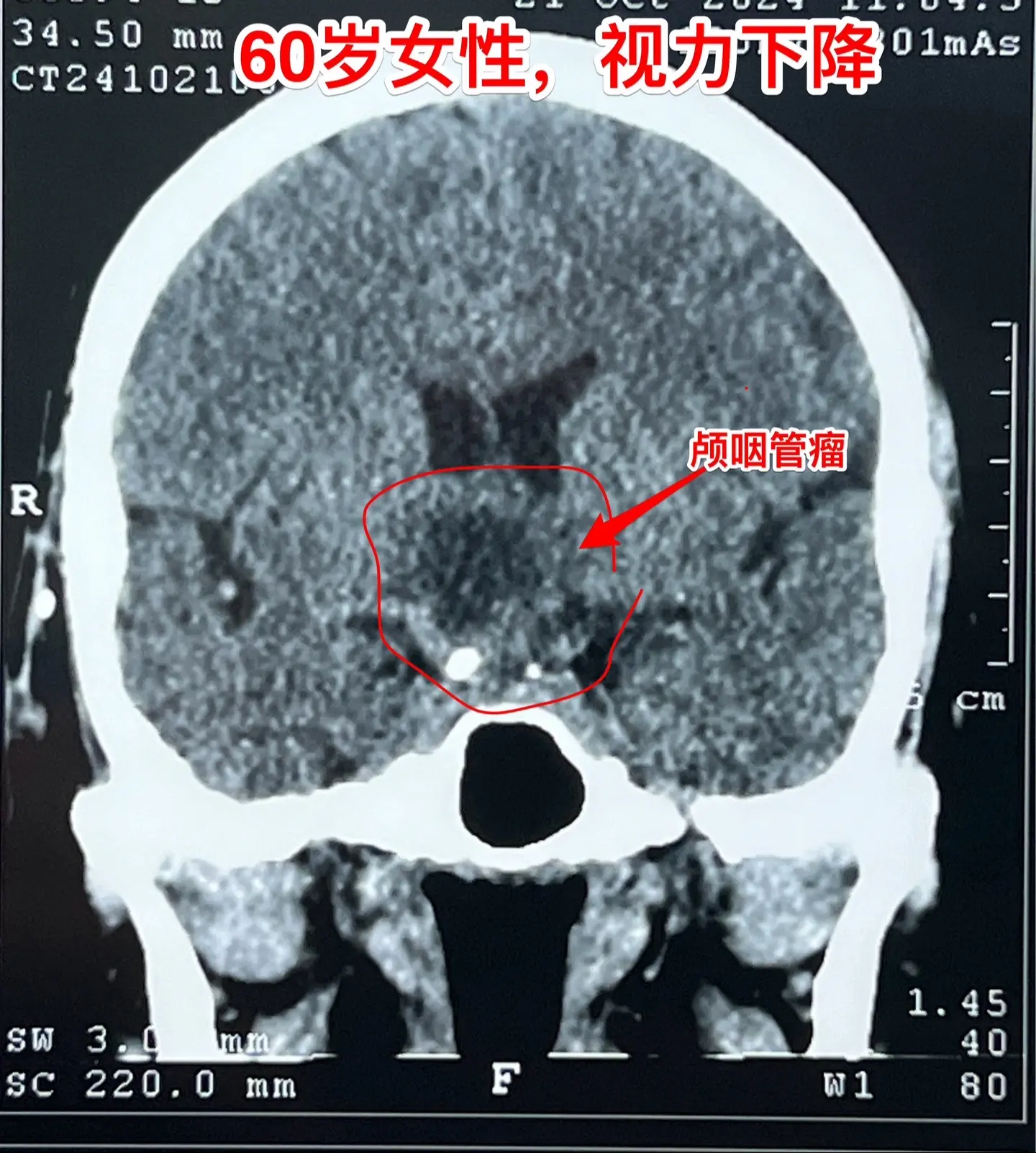
2024-10-21 11:21
乳头型颅咽管瘤。52岁的重庆市男性,因为头痛到医院检查磁共振,居然发现...
2024-10-21 08:10
复发颅咽管瘤的手术难度好判断吗?5岁广州的女孩子,颅咽管瘤复发了。第一...
2024-10-20 11:44
第一页
下一页
神外周忠清
感谢大家的关注
热门分类
推荐
热榜
军事
NBA
体育
社会
明星八卦
娱乐
财经
科技
汽车
历史
国际
游戏
动漫
公益
搞笑
商业
互联网
数码
国际足球
房产
家居
时尚
科学探索
职场
育儿
股票
教育
影视
情感
热点
中国军情
武器
中国南海
中国足球
亚洲杯
科比
综合体育
CBA
投资
大咖秀
外汇
创业
风口
SUV
豪车
概念车
优惠
新能源
美国
欧洲
朝日韩
俄罗斯
孕期
街拍
婚姻
正能量