病例介绍-1
患儿,男,5岁,反复发热、口腔溃疡、腹痛、皮疹,当地医院腹部CT提示脾脓肿,头孢唑肟静滴3天,炎症指标无改善,抗感染治疗无效。既往史:患儿2年前诊断为白塞病,长期泼尼松、秋水仙碱及雅美罗(8次)治疗,病情可缓解,但有复发。
病例问题-1
结合病史,下一步诊治思路如何展开?
病例介绍 -2
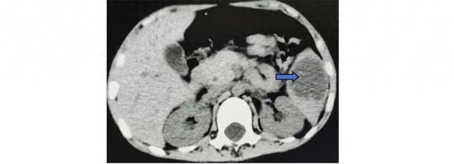
血培养、大便培养、结核菌素试验、G试验、GM试验均阴性。腹部超声提示,脾脏下部存在异常回声区,类圆球形,边界可见范围约5.2 cm × 4.4 cm × 3.3 cm,超声引导穿刺抽脓,脓液菌培养阴性。
病例问题-2
如何解释菌培养阴性的脓肿?
回顾这个病例,具有以下特点:(1)影像学显示深部脓肿;(2)抽吸标本的病原学检查阴性;(3)抗生素治疗无效,常规抗生素治疗持续2周,抗结核治疗3个月;(4)糖皮质激素治疗后临床改善,1个月激素治疗后影像学改善。临床诊断:脾无菌性脓肿。白塞病中分泌白介素18的T细胞的异常免疫反应可引起在中性粒细胞浸润。因此,T细胞介导的异常免疫反应可解释肝脾等的无菌性脓肿表现。
病例介绍 -3
因患儿长期使用激素及免疫抑制剂治疗,入院后加用伏立康唑静滴预防性抗真菌治疗。复查脾脏超声脓肿逐渐缩小,给予口服泼尼松片、沙立度胺、头孢克肟、伏立康唑出院。
病例图片

既往笔记
避痛跛行(儿童股骨头无菌坏死:Legg–Calvé–Perthes 病)
2025-02-28