病史摘要
患者女,72岁。发现右侧颈部包块1年余,渐进性增大,触诊:质中、活动差、无明显压痛。既往史:脑梗病史。无特殊个人史及家族史。
PET/CT检查图像

















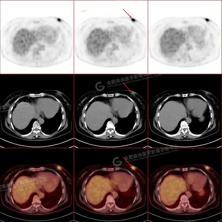
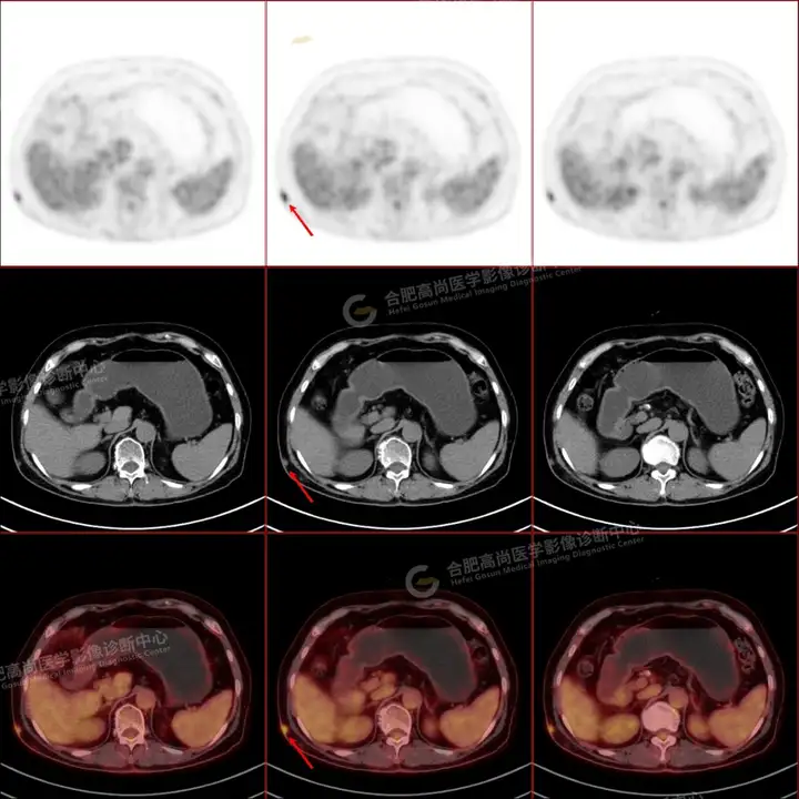
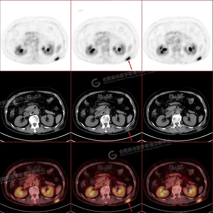
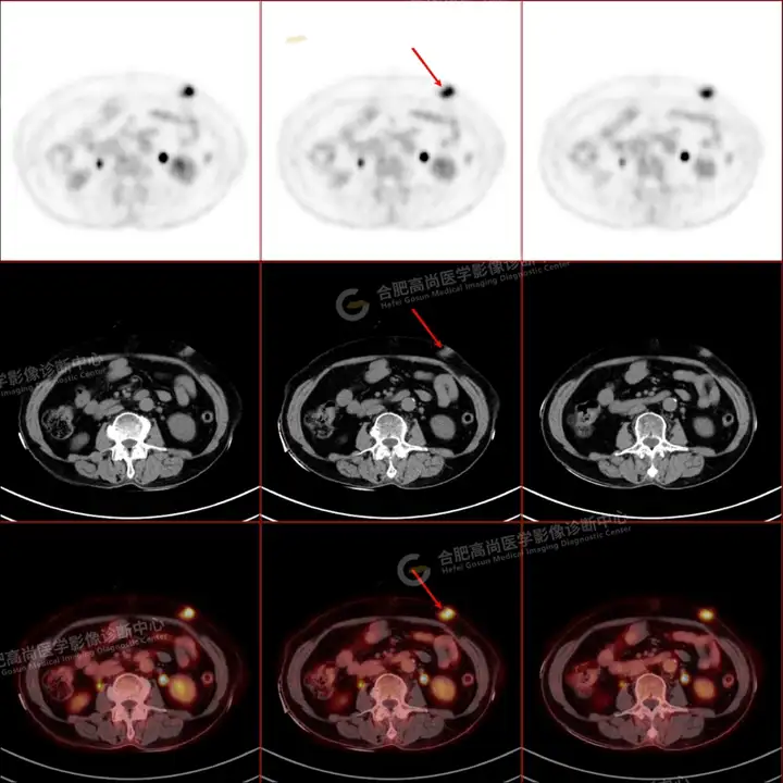
PETCT检查所示:图1、3-17全身多处(双上臂、胸背部、左侧乳腺、左侧腰部、腹壁、双侧臀部及双侧大腿)皮肤下结节及肿块样软组织密度灶,FDG代谢不同程度增高,双侧颈部、左侧锁骨区、纵隔内(1区)及双侧腋窝多发肿大淋巴结,FDG代谢明显增高,符合皮肤来源淋巴瘤。
图2右侧颈部包块切除术后,右侧锁骨区术区皮下片状密度增高灶,FDG代谢异常增高,考虑术后炎性反应。
活检病理:右颈部包块活切病理:NK/T细胞淋巴瘤,注:结内NK/T细胞淋巴瘤罕见,好发于鼻腔、胃肠道或皮肤等部位,请临床注意检查上述部位。

讨论
一、流行病学
皮肤淋巴瘤(cutaneous lymphoma)是以皮肤损害为主要表现的恶性淋巴瘤,既可为原发性,也可为淋巴结或其他脏器淋巴瘤的皮肤扩散或累及的继发性淋巴瘤。原发性结外淋巴瘤可发生于任何器官,约占淋巴瘤的25%;而皮肤原发淋巴瘤以T细胞为主,占 75%一80%,其中蕈样肉芽肿(mycosis fungoides,MF)为 T细胞淋巴瘤的主要类型。
皮肤淋巴瘤在确诊前往往有数月或数年的皮肤病变存在,其预后与皮肤及病变 累及的程度有关,如MF病程缓慢,但随访中复发并不 少见,约15%一25%的患者有淋巴结的累及。在西方国家,皮肤是第二常见结外淋巴瘤,发病率仅次于胃肠道。
二、治疗
对于皮肤淋巴瘤的治疗,若病灶较局限,则以局部手术切除、放射 治疗、激素治疗等为主,而对于病变分布较广泛的皮肤淋巴瘤而言,化学药物治疗仍然是首选方法。因此准确分期,对确定病变程度、制定治疗方案、评估预后至关重要。
三、PET/CT检查优势
常规影像手段对皮肤淋巴瘤的显示存在一定缺陷,PET/CT实现了CT形态学及PET功能代谢的融合,将两种成像技术优势互补,大大提高了诊断的准确度。18F-FDG PET/CT越来越广泛地应用于肿 瘤、炎症、风湿免疫疾病及不明原因发热等的临床实践,在淋巴瘤的诊断、分期、疗效评价等方面更是获得了广泛的共识。
有研究显示,FDG PET对恶性淋巴瘤检测的敏感性和特异性分别为94%、91%,而CT为90%和76%。对于一些PET/CT敏感性较低的淋巴瘤类型,需要更加具有优势的显像手段。18F-FDG PET/MRI 可以显示皮肤疾病的组织学特征,在皮肤淋巴瘤患者的检查中,应用18F-FDG PET/MRI全身检查对皮肤淋巴瘤应该更具有优势。
参考文献:
1. 刘昕,汪世存,张依凡,等. 18F-FDG PET/CT显像在皮肤淋巴瘤中的诊断价值[J]. 中国CT和MRI杂志,2022,20(6):170-173.DOI:10.3969/j.issn.1672-5131.2022.06.056.
2. 华逢春,冯晓源,张慧玮,等. 18F-FDG PET/CT在皮肤淋巴瘤中的初步应用[J]. 上海医学影像,2010,19(2):81-83.