在当前的医学教材中,“哮喘”(支气管哮喘的简称)被界定为气道反复出现的喘息、气急、胸闷、咳嗽等综合症状(尤其在夜间和凌晨加重),属于气道慢性炎症性疾病。它的病因被描述为“与遗传和环境因素有关”,感染、过敏原、气候变化、剧烈运动、情绪波动等都被视为哮喘的可能诱因。尽管如今哮喘的检查治疗方式非常丰富,很多医院也都设有哮喘专科,但关于它的根本原因,我们仍然处在知识的迷雾之中。正如德国过敏性疾病专家伯格曼(Karl-ChristianBergmann)所说,伴随着医学的发展,“用于描述哮喘发病机制的模型”越来越复杂,时至今日,哮喘的“病理生理学机制尚未被完全了解”,它的治疗方式也仍“尚未完善”。这些话语在透露着科学语言的“审慎”之余,也传达着令人无力的不确定感。作为“过敏的历史”系列文章的主题内容之一,笔者谨以“哮喘何以成为一种过敏性疾病”为议题切入,管窥医学史发展过程中有关过敏性疾病的知识和医疗实践的构建与变化。

人们使用哮喘吸入器治疗
一、何谓“哮喘”?
“Asthma”(哮喘)一词源于古希腊语,最早见于古希腊诗人荷马于公元前8世纪或7世纪创作的文学作品《伊利亚特》,指体力损耗下气喘吁吁、呼吸困难的状态;后在部分文学、哲学作品中使用,形容愤怒、战斗或被刺伤后濒死时的粗喘、痉挛性喘息,也用以隐喻阶级或政治斗争中某一方的底气不足。
公元前5世纪,古希腊医生开始将哮喘一词作为疾病名称使用。在“西方医学之父”希波克拉底(Hippocrates)和同时代学者的论述中,谈及了哮喘的病因、症状、预后、疗法,还述及了哮喘的地理、人口分布特点,及基于环境因素和个体差异的患病经历。对后世医学产生重大影响的古罗马名医盖伦(ClaudiusGalenus)将哮喘概括为体液失衡问题,认为来自大脑的黏液从气管流入肺部,在那里凝固诱导了哮喘。这些叙述确立了“哮喘是由体液失衡导致”这一基于体液论的基础疾病模型,在很大程度上影响了后世学者的认知。“哮喘”“端坐呼吸”“呼吸困难”等医学术语也在这一时期被创造出来,一直传承至文艺复兴时期。在相当长的时间里,欧洲医学典籍中关于哮喘的描述都没有理论创新,仅在疾病分类及疗法方面有些许新的尝试。
当然,呼吸急促、呼吸困难并非仅在古代欧洲有所记录。中国《神农本草经》《黄帝内经》中亦有关于呼吸音杂乱、咳嗽、呼吸困难等症状的病因和疗法记录,金元四大家之一的名医朱丹溪将气喘、呼吸困难等合称为“哮喘”。这里“哮喘”的症状描述与欧洲的医学史文献记录颇为相似。古埃及、古印度的医疗记录中也有对类似临床表现的观察和疗法记录。
17世纪到18世纪,伴随着解剖学、生理学等新兴学科的发展,体液学说日益受到挑战,医学界愈发关注神经和肌肉系统的重要性,围绕哮喘的病因、性质等问题也产生了许多新观点。首先,许多医生在临床观察中注意到了支气管痉挛的存在。生活在16世纪末到17世纪初的佛兰芒化学家、生理学家、医生海尔蒙特(JanBaptistvanHelmont)是一名哮喘病人,在多年的医学研究和亲身体会的基础上,他最早描述了自由呼吸中的间歇痉挛(也就是支气管阻塞)突然发作,指出哮喘可分为伴“咳嗽或吐痰”的“湿性”哮喘和喘息为主的“干性”哮喘,他还指出哮喘源于肺部,而不是头部。在之后的一两个世纪中,英国医生威利斯(ThomasWillis)、费洛耶(JohnFloyer),苏格兰医学教育家、名医卡伦(WilliamCullen)等人都对哮喘的痉挛特征进行了描述,在医学界产生了不小的影响。
有关“痉挛性哮喘”的争辩随着法国医师雷内克(RenéLaennec)的发声趋于明朗。雷内克是生活在18世纪末期、19世纪初期的法国名医,在肺部疾病的诊疗方面成就斐然。他发明了听诊器并详细描述了心肺疾病的听诊特征,极大地提升了医生对心肺部疾病的感知能力。他明确指出学界对于“哮喘”概念的滥用,即“哮喘”的症状可能与多种已知疾病重合,比如许多被诊断的“哮喘”是心脏或大血管疾病造成的(后被称为“心源性哮喘”),而“湿润性哮喘”很多是伴有分泌物增多的气喘或呼吸困难问题,“痉挛性哮喘”也有许多被证实是其他器质性病变引起。雷内克认为痉挛性哮喘可以作为一种独立的疾病存在,推测哮喘本质上是一种“神经性疾病”。他的推测在19世纪中期各种实验结果的支撑下,显得极为合理。如:实验表明大多数动物的气道在激惹状态下会收缩、电刺激特定的神经可引起支气管收缩、支气管中确实存在平滑肌等。在19世纪中期几十年的相关论述中,英格兰医生、哮喘患者索尔特(HenrySalter)的观点尤具代表性。他指出,解剖学研究已经证明了支气管肌纤维细胞可出现痉挛性收缩,有害物质刺激下的支气管神经兴奋或反射正是哮喘的主要原因。索尔特还提出了哮喘的特异性(即,哮喘发作的本质不在于外界的特殊刺激物,而在于支气管肌肉神经系统的病态倾向,易被激发成活跃状态)、遗传特性及与花粉症的密切关联。
19世纪末、20世纪初的医学教科书和词典中,哮喘不仅包含痉挛性哮喘,还包括灰尘暴露引起、扁桃体肿大引起、性兴奋引起、噩梦引起等十五种各类原因的“哮喘”。哮喘被认为是神经症,但外源性刺激在哮喘发作中的重要性也越来越受到人们重视。1931年,美国布鲁克林犹太医院过敏诊所主任、后来的哮喘及相关疾病研究学会主席沃尔泽(MatthewWalzer)沮丧地表示:人们对哮喘的病因、机制看法各种各样,它的定义和理论概念也没有形成统一意见。而同为过敏领域专家的拉克曼(FrancisRackeman)则倾向于在这些乱象中真正划定出“哮喘”的疾病概念来,他将哮喘视为疾病实体,而非症状。与拉克曼持有类似观点的医生极大地推动了两次世界大战期间对哮喘病因和机制的研究。他们持续尝试根据患者的年龄、性别、种族、病史等来区分真正的痉挛性哮喘和其他疾病引起的哮喘,相应地,哮喘的治疗也区分为缓解痉挛或针对原发疾病的对因治疗。
二、被“过敏性疾病”收编
渐渐地,医学界就哮喘的发病机理形成了两派主流意见。一方面,许多医生继续支持由卡伦在18世纪提出、并由雷内克和索尔特在19世纪发展的神经支气管痉挛理论。另一方面,一些医学界人士继续坚持认为支气管痉挛不是唯一的发病机制,甚至可能不是最主要的发病机制。他们将“支气管炎症”视为哮喘发作的主要原因,认可古代医疗记录中的“湿性”哮喘、伴有分泌物产生的呼吸困难也是哮喘的表现。

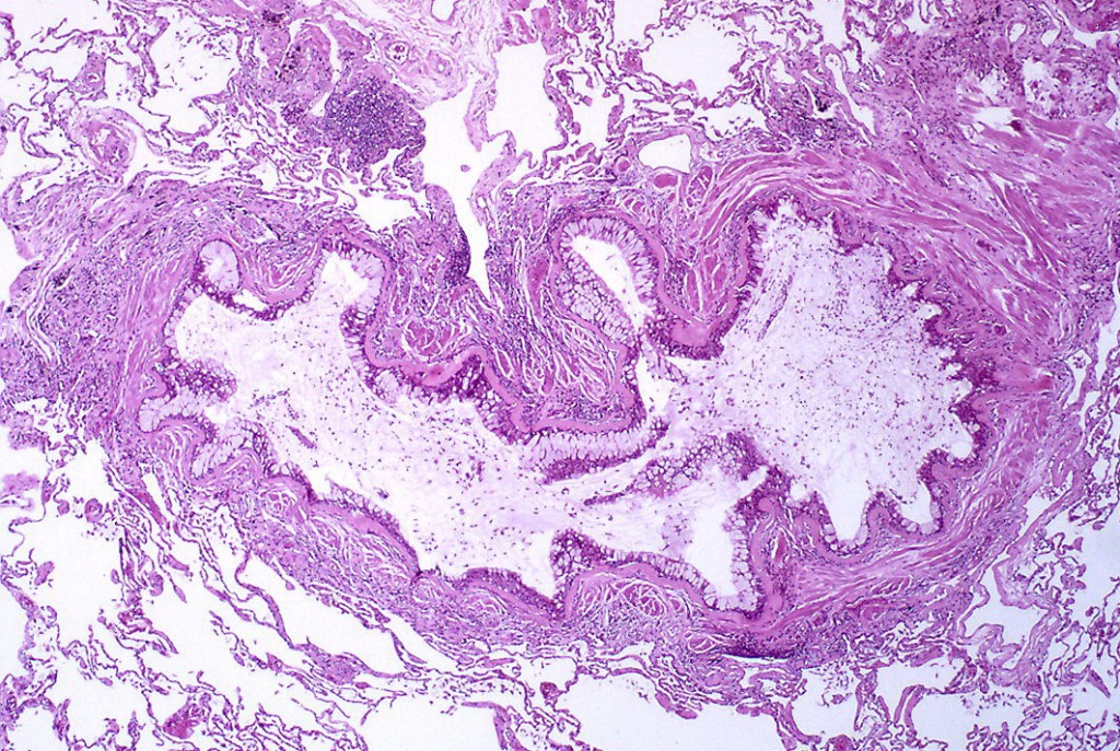
由黏液状的渗出物、杯状细胞化生和上皮基底膜导致的细支气管内腔阻塞在哮喘病人体内增厚。
随着显微镜和新染色技术的逐渐采用,细胞及其成分可以被更清晰地观察。病理学研究发现了一些支持哮喘发作时肺部出现炎症和黏液阻塞的证据。法国著名神经病学家夏科(JeanMartinCharcot)描述了一名患支气管炎的女性痰液中的特殊晶体,德国临床医生莱登(ErnstVictorvonLeyden)进一步阐述了它的来源和性质,认为这些晶体可能是支气管痉挛的原因(这种晶体后来被命名为Charcot-Leyden晶体)。几年后,另一位德国医生柯什曼(HeinrichCurschmann),描述了哮喘患者痰液中的螺旋结构(即Curschmann螺旋体),并表明螺旋和晶体都是在较小气道中形成的黏液栓。随后,在哮喘患者的痰液和血液中鉴定出嗜酸性粒细胞(一种白细胞)。Charcot-Leyden晶体和嗜酸性粒细胞之间存在明显的相关性,证实了炎症渗出物在支气管哮喘中发挥关键作用的推测。医学工作者开始坚信:晶体、螺旋结构形成的黏液栓等炎性渗出物在支气管哮喘中发挥了关键作用。19世纪末,支气管痉挛、黏膜炎症两种哮喘理论的支持者间关系持续紧张,许多专业人士开始有了中间立场,认为痉挛、炎症在哮喘患者身上是并行、共存的过程。
同时,伴随着临床证据的积累,哮喘、湿疹、花粉症越来越多地被发现出现在同一个患者、同一个家族中。英国伦敦医院临床医学名誉教授克拉克(AndrewClark)根据观察认为,哮喘和花粉症、荨麻疹类似,疾病根源在于呼吸黏膜的脆弱性,遇刺激则充血肿胀、分泌黏液。其他多位医学专家也证实了哮喘及花粉症的密切关联。1892年,被称为“现代医学之父”的加拿大医生奥斯勒(WilliamOsler)在《医学原则与实践》(当时最流行的医学教科书之一)中汇总哮喘理论时,虽然没有否认支气管痉挛、炎症等理论,但也认为哮喘与花粉症发病机制相同·、只是发病地点不同,并建议进一步关注和研究。重视哮喘和花粉症在临床上的关联,为哮喘以后几十年的病因归属和发病机制解释拉开了新的序幕。
1902年,法国生理学家里歇(CharlesRichet)和波特尔(PaulPortier)为达到增强免疫效果、为动物注射海葵毒素,却发现二次注射时动物会偶尔出现呼吸窘迫症状和死亡,遂引入“anaphylaxis”(过敏反应,字面意思为对毒素的免疫保护降低)一词指代这种现象。四年后,奥地利儿科医生皮奎特(ClemensvonPirquet)也注意到在儿童医院接种常见疫苗的儿童,二次注射时反应会有不同。结合匈牙利医生希克(HungarianBélaSchick)有关血清病的观察,皮奎特提出了“allergy”(过敏)的概念,但认为这是免疫反应过度或超敏感,而不是免疫保护降低的结果。过敏相关的异常表现不是由外部病原体引起,而是身体原始反应的理论并没有立刻被学界普遍接受。但是,这种理论确实能解释许多临床上的表现,如同样注射多次疫苗、接触同样花粉的条件下,少数人会特异性地出现一些症状。皮奎特建议在使人过敏的“过敏原”(allergen)这一术语下列入花粉、草莓、螃蟹等可能导致特异性反应的物质。
随着哮喘和过敏相关的各类证据的积累,哮喘也开始逐步被归入过敏性疾病范畴。实验医学、医药产业的发展更是促进了过敏这一理论解释主导哮喘的概念、疾病机制阐述和治疗。1910年,美国著名生理学家梅尔策(SamuelMeltzer)基于哮喘与花粉症的密切关联、哮喘发作的特异性等现象,明确提出哮喘是过敏反应而非神经症。
1916年,美国学者发表研究,通过对哮喘、花粉症、荨麻疹和食物过敏等500多位患者进行调查,确认了过敏的遗传性,这在一定程度上解释了临床中哮喘患者何以常在同一家庭中出现。1921年,研究证明过敏反应是由特定抗体介导的,后又有研究揭示了肥大细胞脱颗粒在过敏反应中释放组胺和其他炎症介质的作用。这些研究为开发和评估针对花粉症、哮喘等过敏性疾病的新疗法提供了理论指导,也为跨国医药公司投入资源开发、营销新的药物提供了动力。在整个19世纪,化学家、药剂师、小型药房等一直在生产治疗哮喘的药物和吸入设备,但其影响、盈利都比较小。伴随着哮喘被视为过敏性疾病,脱敏治疗、抗组胺药、抗炎药等新疗法纷纷登场。
1911年,英国细菌学家诺恩(LeonardNoon)、弗里曼(JohnFreeman)等人在《柳叶刀》发文介绍了脱敏疗法对花粉症患者的令人欣喜的疗效。数年后弗里曼进一步改进了脱敏方案,并与美国帕克制药公司(Parke,Davis&Company,曾是美国极具影响力的制药公司,后被辉瑞收购)签订了利润丰厚的协议,来营销其“脱敏疗法”及相关产品。同时,弗里曼还提出将该疗法拓展应用于其他过敏性疾病,如通过小剂量植物制剂治疗植物过敏性哮喘、接种细菌疫苗治疗支气管炎相关的哮喘、以灰尘或动物皮屑提取物治疗接触这些物质导致的哮喘等,以达到预防哮喘发作的目的。这种设想对正为哮喘患者苦苦寻求良方的临床医生极具吸引力,制药公司也迅速跟进为这一设想提供支持。在20世纪初的几十年内,帕克、马尔福得公司(H.K.MulfordCompany)、雅培实验室等医药公司纷纷入场,做过敏原测试、脱敏治疗等产品的销售。过敏性哮喘中涉及的细胞间作用机制和炎症过程的新解读、哮喘患病人数的持续增加,使得商业界对新型抗哮喘药物这一市场的兴趣大大增加,尤其是礼来、拜耳等大型药企投入大量研发资金,麻黄提取物、抗胆碱能和肾上腺素能药物、甲基黄嘌呤、类固醇、抗组胺药等陆续上市。

1959年美国某杂志上针对哮喘患者的曼陀罗花香烟(含阿托品)广告
同期,哮喘、花粉症患者数量和研究水平较高的英国、美国为进一步研究哮喘和过敏疾病的发病机制、治疗方法,率先建立实验室及专门团队开展相关研究,并开办了过敏、哮喘专门诊所。类似模式逐渐扩展到欧洲、大洋洲等多个国家,这更便于过敏机制支持下诞生的药物、疗法在哮喘患者身上使用,获得临床证据。如1927年英国建立的哮喘研究理事会(AsthmaResearchCouncil),1923年美国成立的西海岸花粉症、哮喘及过敏性疾病研究会(WesternSocietyfortheStudyofHayFever,AsthmaandAllergicDiseases),1925年东海岸多位著名过敏症专家成立的哮喘及相关疾病研究会(SocietyfortheStudyofAsthmaandAlliedConditions,后与前者合并),多从过敏机制入手探究哮喘问题。
脱敏疗法、抗组胺药等在哮喘和花粉症患者中的大规模使用,也得益于专门针对过敏和哮喘问题的诊所增加。尽管沃尔泽等人警告不要仅以过敏来解释哮喘,但过敏理论在实验医学、临床医学中的发展仍势不可挡。20世纪中叶,致病因素多样、机制不甚明朗的复杂疾病哮喘逐渐成为新兴过敏领域专家们最关注的重点。在基础理论、专业协会、临床诊疗等维度,哮喘都逐渐被“拉进”过敏性疾病的领地。
不过,哮喘归入过敏性疾病的过程也并非一帆风顺。虽然过敏专家、制药行业基于抗过敏药物、脱敏疗法对花粉症的有效性,对抗组胺药、脱敏治疗于哮喘的潜在疗效十分乐观,但不断积累的临床试验证据却越来越表明:抗组胺药、脱敏治疗在哮喘中用途有限。同时,在发病机制的阐释和研究方面,哮喘患者如何被致敏、致敏物的确切性质、如何在临床展示和评估患者敏感性的问题持续存在。尤其是,由美国过敏学家沃克(IsaacWalker)引入的皮肤过敏性测试在哮喘患者中常常是阴性的,更是引起许多临床工作者怀疑哮喘源于过敏的理论正当性。
另外,伴随着20世纪现代医学在全球的扩张,哮喘研究的范围扩大,世界各地哮喘研究中心和组织收集的哮喘病例展示出哮喘更为复杂的面貌。20世纪30年代印度的许多病例研究表明,与欧美等国的病例报告不同,他们的哮喘很少由过敏引起或与过敏相关,反而多继发于呼吸道细菌感染。不同地域、不同种族、不同环境的哮喘患者似有不同的原因,或不同的病理学表现。这些现象不断提醒研究人员,有关哮喘的解释,可能是如旧时所说的一组多种原因引起的症状,而不是单一病因如全由过敏导致的疾病实体。
20世纪60年代,流行病学证据表明哮喘的患病率、死亡率显著上升,尤其在英国、美国等地区。研究人员注意到除环境污染等外界因素变化的可能原因外,死亡率升高与使用“含有交感神经激动剂”的加压喷剂有密切关联。后来研究证明,这是由于该制剂存在明显的心脏副作用。随着20世纪50年代末计量吸入器的使用,高剂量吸入支气管扩张剂治疗变得更为频繁。1967年,药物安全委员会对此类制剂发出警告,次年该制剂被禁止向公众销售后英国的哮喘死亡率迅速下降。这也为药物或疗法在哮喘患者中的试用和持续监督敲响了警钟,此后对支气管针对性更好、对心脏副作用更小的肾上腺素改良制剂才在20世纪下半叶进入哮喘治疗的药物行列。针对支气管痉挛的治疗和针对过敏的治疗成为哮喘治疗的两条并行路径。
三、不确定与未来
在2018年出版的人民卫生出版社第九版医学教材《内科学》中,哮喘的发病机制被归纳为气道免疫-炎症机制、神经调节机制及其相互作用。遗传或环境因素如变应原、感染等导致气道炎症、气道重构,或导致气道神经调节失衡、平滑肌结构功能异常等均可引起支气管哮喘发作。现有研究已证实哮喘所有阶段都以慢性炎症为特征,基于当前证据,抗炎药、解痉平喘药、避免变应原刺激、特异性或非特异性免疫治疗等手段均是有效提升患者生活质量的治疗方式。
此外,回顾历史上关于哮喘发病机制的假说,除支气管痉挛、支气管炎症等以实验医学为基础的归因,也述及了社会因素的影响。自启蒙运动时期,人们就愈发关注和忧心现代文明对人类健康的影响,19世纪时就有医生根据花粉症等疾病在受过教育的“文明精英”、富人群体中更常见这一现象,将花粉症、哮喘视为“过度文明”影响的结果。这些“现代病”“贵族病”(还包括抑郁、躁狂、风湿等)被认为是生活放纵或缺乏活动等导致的。这一认知一直持续到20世纪,直到发展中国家哮喘发病率增高、20世纪70年代美国改善贫民住房质量和医疗条件后哮喘发病率有所下降,“哮喘是文明病”这一叙事趋势才趋弱。现代社会的发展是否与部分疾病发生率相关,仍未有定论。此外,诸多哮喘患者的历史记录毫无争议地证实了哮喘与情绪之间的联系,哮喘也曾被视为“情感反应的身体表现”。20世纪过敏诊所会将心理和免疫学方法结合来治疗哮喘,至20世纪80年代结合心理的疗法才被生物学、药理学方法取代。
纵观历史,从体液或阴阳失衡、到与其他疾病导致的呼吸困难剥离,再到神经性痉挛、支气管炎症、“文明病”、过敏性疾病等理论假设,哮喘的解释模型和归属问题一直在变化。当前过敏原可导致哮喘发作这一病因似已十分明确,但关于哮喘发病机制、疗法等知识拼图或许还要等待未来的更多研究。
参考文献:
1.MarkJackson.Asthma:Thebiography[M].Oxford:OxfordUniversityPress,2009.
2.葛均波等.内科学第9版[M].北京:人民卫生出版社,2018:28-35.
3.VonMutiusE,DrazenJM.Apatientwithasthmaseeksmedicaladvicein1828,1928,and2012[J].NEnglJMed.2012,366(9):827-34.
4.SmithJM.Asthma.BrMedJ[J].1979,2(6182):118-9.
5.APleatoAbandonAsthmaasaDiseaseConcept.Lancet[J].2006,368(9537):705.
6.BergmannKC,RingJ编,刘光辉主译.过敏科学史[M].武汉:华中科技大学出版社,2019.