28岁的小雪(化名)怀抱刚满百天的小宝宝,心里满是甜蜜,也满怀感激。因为丈夫基因变异、自己染色体异常,经历了三次人工授精均失败。在找到中山大学附属第六医院(以下简称中山六院)生殖医学中心后,才通过三代试管婴儿技术(PGT)成功阻断异常的基因和染色体向子代传递,生下了一个健康宝宝。据介绍,这是国际上首次通过改进后的基于链读测序的长片段二代测序技术,成功实现了端粒融合型环状染色体的单体型构建,并应用三代试管婴儿技术(PGT)成功阻断环状染色体向子代传递。

怀抱宝宝的小雪(左六)与中山六院生殖医学中心医护团队。
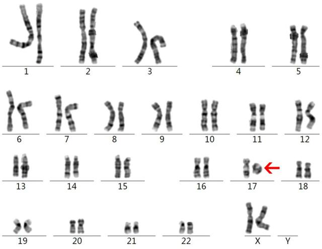
三次人工授精失败,夫妻分别查出基因、染色体异常小雪与29岁的丈夫步入婚姻殿堂3年,从未避孕却迟迟不孕。在外院经历了三次人工授精均失败后检测发现,小雪体内71%的细胞染色体是正常的,但有29%的细胞的17号染色体形成了一个环状。环状染色体是人类很罕见的一类染色体结构畸变,携带者一般生育率较低,会承受不孕不育、高发的反复流产或生育畸形儿等风险。医生推测,这可能就是小雪多年未孕的原因。2021年12月,夫妇俩来到中山六院生殖医学中心寻求帮助。

该类染色体核型结果(17号染色其中一条体呈现环形)。
初诊时,中心任姿副主任医师发现,小雪身体和腿部均有牛奶咖啡斑,并表现出轻微的语言发育障碍,与17号环状染色体综合征的表型吻合,但小雪的父母染色体均正常,因此确定小雪为新发的染色体结构变异。在面诊男方时,发现男方存在特殊面容并伴有轻度的智力障碍,为其进行了基因全外显子组测序,结果发现男方KMT2A基因存在一个新发的致病变异。夫妻俩一方染色体异常,一方基因变异,在这种情况下,想要生育一个完全健康的孩子非常困难(染色体和基因均正常的理论概率极低)。
而且,小雪夫妇均为新发变异,无法通过双方父母的信息构建单体型,以致无法区分他们自身的两套遗传物质中究竟是哪一套发生了问题,从而给胚胎的诊断带来了挑战。更何况,小雪环状染色体的结构导致无法通过传统的三代试管技术判断胚胎是否携带环状染色体,目前也尚无文献报道过该类环状染色体单体型构建成功的案例。
然而,夫妻双方非常渴望拥有一个健康的孩子,同时也希望能够阻断染色体病和单基因病在家族中的传递。他们选择与中山六院生殖医学中心PGT团队一同踏上探索之路。
开发针对性新技术,夫妇俩喜获“染色体脱环”健康宝宝2022年2月,在生殖医学中心学科带头人梁晓燕教授、中心主任方丛主任医师的带领下,任姿副主任医师、徐丽南副主任医师、李小兰主治医师及PGT检测室张志强主管技师、何姝婧主管技师等进行了深入讨论。在尝试了多种常用检测方法包括荧光原位杂交技术(FISH)、染色体微阵列技术(CMA)等结果都不尽人意后,团队开发了针对环状染色体检测的基于链读测序的长片段二代测序方法,成功构建了女方17号环状染色体携带单体型、正常染色体的单体型,也成功构建了男方新发致病突变基因的单体型。
随后,团队对胚胎进行了一体化PGT检测(PGT-plus),成功判断了胚胎环状染色体及致病基因变异的携带情况,最终在本次送检的11枚胚胎中找到了1枚胚胎染色体和基因均正常的宝贵胚胎。
去年3月,这枚宝贵的正常胚胎被成功植入小雪的子宫内,十多天后,验孕结果显示成功妊娠。小雪夫妇和双方长辈喜极而泣。
为避免胚胎检测的漏诊或误诊风险,四个月后,产科主任高羽主任医师团队为小雪进行羊水产前诊断,进一步分析胎儿的染色体和基因是否异常。结果显示,胎儿不携带环状染色体,同时基因检测显示不携带KMT2A基因突变。
2023年12月7日,这个国际首例“染色体脱环”宝宝终于呱呱坠地,各项相关评估及检查均正常。

据悉,中山六院生殖医学中心PGT团队基于这类环状染色体构建单体型的技术方法已申请技术发明专利,希望这一突破性的研究成果能为更多饱受不孕和遗传疾病风险之苦的家庭生育健康后代带来希望,同时也为医学领域开辟新的道路。此技术还有望拓展应用至其他有染色体异常和单基因病的夫妇,为更多家庭带来孕育健康宝宝的希望。
专家强调:并非三代技术更好,须严格筛选适应指征三代试管技术全称是胚胎植入前遗传学检测,英文简称PGT。方丛介绍,它是利用显微操作技术将胚胎(主要是囊胚)中的几个细胞取出,检测这个胚胎是否含有遗传病基因或异常染色体,从而选择染色体正常或不致病胚胎进行移植,避免下一代再发生相关的遗传疾病,以及因染色体异常引起的流产,达到优生优育的目的。
“并不是三代试管婴儿技术就比一代、二代技术好,也并不是每对夫妇都可以做三代技术,它是有严格的适应指征的,针对的是特定人群,普通患者做普通的试管婴儿技术就可以达到目的,且有一定风险,正常胚胎不建议做三代试管婴儿技术。”梁晓燕强调。
方丛进一步阐述称,目前,PGT的适应指征主要是四种情况,一是染色体病人群,即夫妻双方至少一方染色体异常,包括染色体易位、罗氏易位、倒位、致病性微缺失或微重复等;二是单基因遗传病人群,如地中海贫血、血友病、多囊肾、遗传性耳聋、苯丙酮尿症等;三是遗传易感的严重疾病人群,如遗传性乳腺癌、遗传性结直肠癌等;四是胚胎染色体异常高风险人群,如38岁以上、不明原因反复自然流产、不明原因反复种植失败等。
但是,PGT不等于能100%保证健康宝宝的出生。PGT仅限于检测和诊断特定的遗传形状,可以在一定程度上避免特定的遗传风险,提高移植的成功率,但影响胚胎发育还有很多其他因素,即使PGT后获得的妊娠,也有流产、宫外孕、胎儿畸形等异常的可能,以及胚胎在发育过程中的随机变化,因此不能100%保证健康宝宝的出生。
任姿提醒:如果夫妻正常性生活未避孕超1年仍未孕,或有不良孕产史,或者夫妻双方或家系成员患有某些遗传病或先天畸形,建议及时前往正规医疗机构的生殖中心进行遗传咨询和检查。染色体异常和遗传病可能会导致不孕、反复流产、胎儿畸形、出生缺陷等问题,及早发现并评估能否采用三代试管婴儿技术干预,这对于预防相关风险至关重要。