阅读此文前诚邀您点击一下“关注”,方便您随时查阅一系列优质健康文章,同时便于进行讨论与分享感谢您的支持!

当胸部CT报告单上出现"肺部多发结节"这几个字时,不少患者顿时面色凝重,内心充满恐惧。"是癌症吗?""我还能活多久?"这些忧虑如同阴云密布,笼罩着患者的心头。

究竟肺部多发结节意味着什么?它们真的如想象中那般危险吗?本文将为读者揭开肺部多发结节的神秘面纱,帮助大家正确认识这一常见的影像学发现。
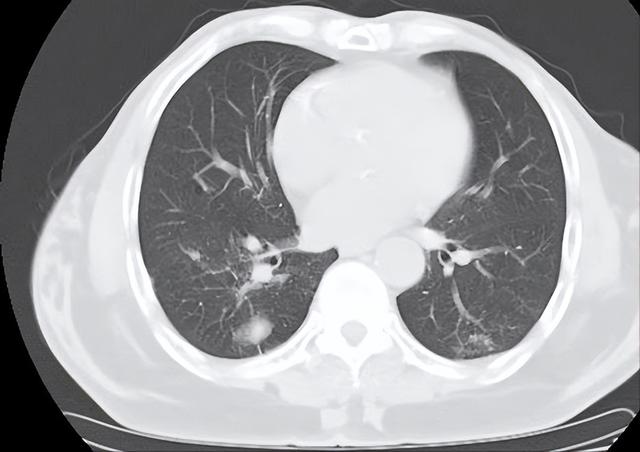
肺部结节是指肺部实质内直径小于或等于3厘米的、近似圆形的、边界相对清晰的密度增高影。当肺部出现两个或两个以上的结节时,即称为肺部多发结节。
随着胸部CT检查的广泛应用,肺部多发结节已成为临床极为常见的发现。据国内权威医学统计数据显示,在健康体检人群中,约25%-30%的人会被发现肺部存在结节,其中多发结节约占60%。
这一数据远高于人们的想象,也说明了肺部多发结节并非都是致命的"定时炸弹"。从病因学角度看,肺部多发结节的成因十分复杂多样。

常见的病因包括:感染性疾病(如结核、真菌感染等)、炎症反应(如肉芽肿、风湿性疾病等)、良性肿瘤、恶性肿瘤以及其他病因(如血管畸形、肺内淋巴结等)。
值得注意的是,虽然恶性肿瘤是引起肺部结节的重要原因之一,但并非所有多发结节都意味着恶性,尤其是当结节较小、数量较多且分布有规律时,往往提示良性可能性较大。
从中医角度来理解,肺部多发结节可归属于"肺积"、"肺痰"、"肺痞"等范畴。中医认为,肺为娇脏,喜润恶燥,主管宣发肃降。
当肺失宣降,气机阻滞,或痰湿内蕴,或气滞血瘀,或正气不足,邪毒内侵等,均可导致肺部气血运行不畅,凝聚成块,形成影像学上的结节表现。

因此,中医治疗着眼于整体,强调辨证论治,或以化痰散结,或以理气活血,或以扶正祛邪等法则,辅助西医治疗,常能取得较好疗效。
结节的危险性主要取决于以下几个因素:
第一,结节的大小。一般而言,结节越大,恶性可能性越高。直径小于5mm的结节,恶性可能性不足1%;直径6-10mm的结节,恶性可能性约为0.5%-2%。
直径11-20mm的结节,恶性可能性约为6%-28%;直径21-30mm的结节,恶性可能性则高达33%-64%。
第二,结节的形态。边缘光滑、圆形或椭圆形的结节多为良性;而边缘毛刺、分叶、不规则形态的结节则需要警惕恶性可能。

第三,结节的密度。纯磨玻璃密度(GGO)、混合密度的结节恶性可能性较高,而钙化、脂肪密度的结节多为良性。
第四,结节的生长速度。恶性结节体积倍增时间通常在30-400天之间,而良性结节则生长缓慢或大小稳定。
第五,结节的数量和分布。多发性、双肺分布、随支气管血管束分布的结节多为良性或转移瘤;而单个、孤立的结节则需警惕原发性肺癌可能。
作为胸外科医生,在日常临床工作中常会遇到因肺部多发结节而焦虑不安的患者。事实上,对绝大多数体检发现的肺部多发小结节,,而非立即进行创伤性检查或治疗。

根据2023年中国胸部肿瘤学会(CSCO)发布的《肺结节诊疗指南》,对于大多数低危结节,建议采取"动态观察"策略,即通过定期CT复查,观察结节变化情况。
值得强调的是,虽然多数肺部多发结节并不危险,但这并不意味着可以掉以轻心。一旦发现肺部多发结节,应在专业医生指导下制定个体化随访方案。
对于高危结节,则可能需要进一步检查,如PET-CT、经支气管或经胸肺活检等,以明确诊断。在日常预防方面,戒烟是首要措施。
研究表明,吸烟是肺癌的首要危险因素,约85%的肺癌与吸烟有关。此外,避免接触空气污染物、保持室内通风、增强体质等措施也有助于降低肺部结节风险。

饮食上,可适当增加富含抗氧化物质的食物,如新鲜蔬果、全谷物等,这些食物中的维生素和矿物质有助于增强机体免疫力,减少肺部炎症和损伤。
中西医结合治疗肺部多发结节具有独特优势。西医通过精准影像学检查和病理学诊断,能够明确结节性质。
而中医则着眼于全身调理,通过辨证论治,改善体质,提高免疫力,两者结合往往能取得更佳疗效。但也存在一定局限性,如中医治疗个体化差异大,疗效评价标准不统一等问题。
作为一名长期从事胸部疾病诊疗的医生,笔者建议,患者在面对肺部多发结节时,应保持理性客观的态度,既不可过度恐慌,也不可完全忽视。

应当严格遵循医生制定的随访计划,定期复查,同时通过合理膳食、适量运动、戒烟限酒等健康生活方式,提高自身免疫力,降低肺部疾病风险。
值得一提的是,近年来随着低剂量螺旋CT(LDCT)筛查技术的普及和人工智能辅助诊断系统的应用,肺部结节的早期发现率和诊断准确性已大幅提高。
对于肺癌高危人群(如长期吸烟者、有肺癌家族史者等),建议定期进行LDCT筛查,以便及早发现问题,及时干预。
总之,肺部多发结节并非都是癌症信号,多数情况下无需过度担忧。在专业医生指导下,采取科学合理的应对策略,绝大多数患者都能安然度过这一"结节困扰"。

健康管理是一场马拉松,而非短跑,保持良好心态、坚持定期复查、践行健康生活方式,才是应对肺部多发结节的最佳策略。
参考文献:
[1] 中国胸部肿瘤学会肺癌专业委员会. 肺结节诊疗中国专家共识(2023年版)[J]. 中国肺癌杂志, 2023, 26(6): 401-422.
[2] 徐波, 陈克能, 高文, 等. 肺部结节影随访及诊断中国专家共识[J]. 中华放射学杂志, 2021, 55(12): 1204-1216.
[3] 郑其昌, 李谦, 王志强, 等. 中西医结合治疗肺癌及肺结节的临床研究进展[J]. 中国中西医结合杂志, 2022, 42(8): 1028-1032.
声明:本文内容均是根据权威医学资料结合个人观点撰写的原创内容,意在科普健康知识请知悉;如有身体不适请咨询专业医生,喜欢的朋友可以关注一下,每天分享健康小知识,做您的线上专属医师。
王海怡
远离二手烟,良好的生活习惯很重要。原来有过肺结后来吃了中草药粉于氏甲消散好了。