20岁男生肺被“啃”出10多个空洞20岁男生挤颗痘痘,肺被“啃”出10多个空洞

青松映晚晖 2025-11-24 07:12:31

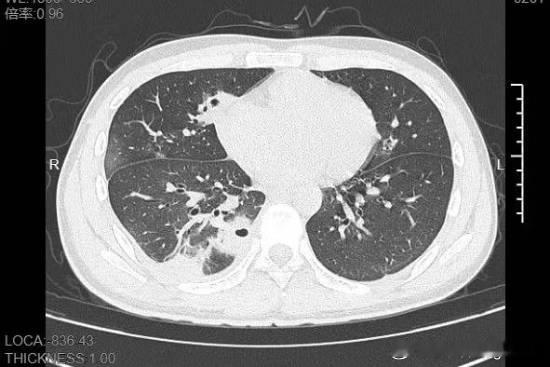
20岁男生肺被“啃”出10多个空洞 20岁男生挤颗痘痘,肺被“啃”出10多个空洞,这事儿一上热搜就把网友吓得不轻。大二学生小林,备考熬夜后脸上冒了颗黄豆大痘痘,没洗手就给挤了,当时还觉得清爽。结果没几天,痘痘化脓,他开始发烧咳嗽、胸部剧痛,体温烧到39℃,去医院一查,肺里十几个空洞,部分肺组织坏死,是血源性肺脓肿。原来,他血液里检出了藏在皮肤表面的金黄色葡萄球菌,祸根就是那颗被挤的痘痘。这也给爱挤痘的年轻人提了个醒,千万别手欠,挤痘有风险,下手需谨慎啊!

0 阅读:0
青松映晚晖

青松映晚晖

感谢大家的关注