牙齿对宝宝的重要性,作为成年人,宝妈们都深有体会。那么,为什么有时我们再怎么防范,宝宝仍然会长出“小黑牙”呢?
5岁男孩不吃糖,牙齿竟然变黑了,这是为什么?小男孩小朗即将五岁,他的天真可爱吸引了无数的喜爱,但是他的“小黑牙”却让他的母亲感到担忧。

尽管小朗的妈妈已经严格限制他的糖果摄入,以防止他的牙齿健康受损,但是小朗的牙齿仍然变黑了。
然而,小朗妈妈可能没有意识到,孩子的“小黑牙”并不仅仅是由于吃糖造成的,原因还有很多个。
实际上,小朗每晚都有在睡前喝牛奶的习惯,而他在喝完牛奶后没有刷牙漱口,直接就睡觉了。这导致牛奶中的乳糖在他的牙齿上停留,久而久之,小朗的牙齿就会被乳糖腐蚀,从而形成了“小黑牙”。如果你家孩子也有这种习惯,建议尽快改正,喝完牛奶、奶粉、母乳等及时漱口。

其实孩子牙齿变黑的原因有很多,吃过多的零食甜品只是其中一个原因,还有很多日常习惯宝妈也需要注意
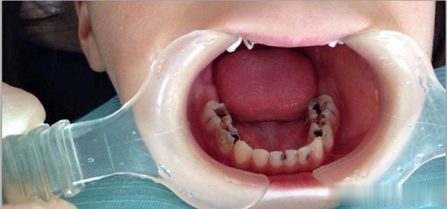
孩子的牙齿变黑,可能是长龋齿了孩子的牙齿变黑,除了是吃某些食物染色,主要还是可能是长了龋齿。
在孩子换牙之前,乳牙出现龋齿的情况我们称之为乳牙龋,这种情况多发生在孩子的门牙上,大多数会从黄变黑,严重的会导致乳牙被腐蚀。
很多宝妈认为乳牙迟早会换掉,所以对乳牙龋不太重视,但这种想法是错误的。乳牙龋不仅影响乳牙,也会严重影响孩子未来恒牙的生长。

因此,当宝妈发现孩子乳牙有问题时,一定不能掉以轻心,要及时带孩子去医院检查牙齿的具体情况。那么,除了带孩子及时去检查,
那么孩子长龋齿的原因有很多,宝宝摄入过多零食、甜品只是其中一个,除此之外,日常的牙齿护理不到位、日常习惯不好都会导致宝宝龋齿。
如何避免宝宝长龋齿1.重视日常护理
无论孩子是否长了“小黑牙”,宝妈都需要时刻关注孩子的口腔卫生,每天至少刷两次牙,吃完东西后一定要漱口,特别是喝完奶后。

在选择牙刷和牙具时,宝妈需根据宝宝的年龄做出合理选择。宝宝刷牙后,宝妈最好进行检查。对于年龄较小的宝宝,宝妈可以帮助刷牙,以确保宝宝的牙齿被彻底清洁。
2.减少甜食摄入
虽然宝宝的“小黑牙”不一定是由甜食引起的,但过多的甜食确实会加大黑牙的风险,因此宝妈应控制宝宝的甜食摄入。此外,宝宝在吃完甜食后应及时漱口。
3.改掉不良习惯
有些孩子习惯喝完奶就睡觉,这种习惯一定要尽快改正,喝完奶之后嘴里会残留奶液,这些奶液会导致孩子牙齿变黑。

此外,有些孩子还会用牙齿啃咬坚硬的物品,宝妈也要帮助纠正,避免宝宝的牙齿受到磕碰。
小豆芽温馨提示虽然宝宝的乳牙会更换,宝妈仍需重视,帮助宝宝养成良好的刷牙习惯,关注口腔健康,确保宝宝能够拥有一口健康的牙齿,以后吃东西时更美味。
关注小豆芽,让育儿变得更轻松!
(图片源于网络,侵权删)