病例介绍
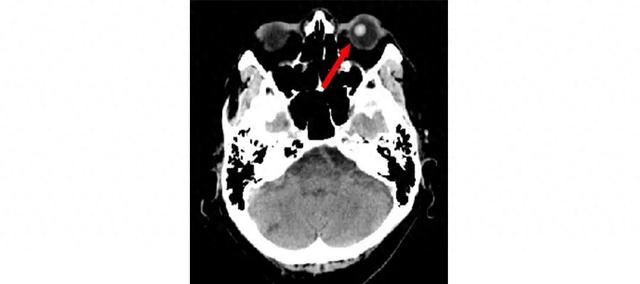
患者,男。70岁、既往健康,在观看电视时,左眼突然失去视力,并伴随从左眼延伸至头部左侧的剧烈疼痛。由于疼痛难以忍受,患者无法自行睁开左眼,导致直接进行眼部检查困难。这种突发头痛与视力丧失症状,不仅提示了青光眼急性发作的可能性,也可能存在颅内病变的风险。为了排除诸如蛛网膜下腔出血等严重颅内疾病,急诊头部CT检查。CT结果显示,患者的左人工晶状体位置异常,向后倾斜(见图)。基于这一发现,患者被紧急转诊至眼科进一步诊治。在眼科,经过详细评估后,确诊为因晶状体脱位导致的急性青光眼发作。随后,该患者接受了左侧玻璃体切割手术。
病例图片

病例思考
对于本例患者,自发晶状体脱位是在没有明显触发因素的情况下发生的;房水通道阻塞导致继发性闭角型青光眼。晶状体脱位最常见的原因是外伤。没有易感遗传因素的自发晶状体脱位很少见。头部CT有助于诊断伴有眼部疼痛的突然视力丧失患者的晶状体脱位。
既往笔记
外伤性晶状体脱位的CT检查
儿童双眼晶状体半脱位
2025-02-09