病史摘要
患者男, 58岁。2个月前无明显诱因下出现间断性记忆力减退、四肢抽搐,每次持续约10分钟,至今共发作6次。既往有肺结核病史。
影像检查及诊断分析
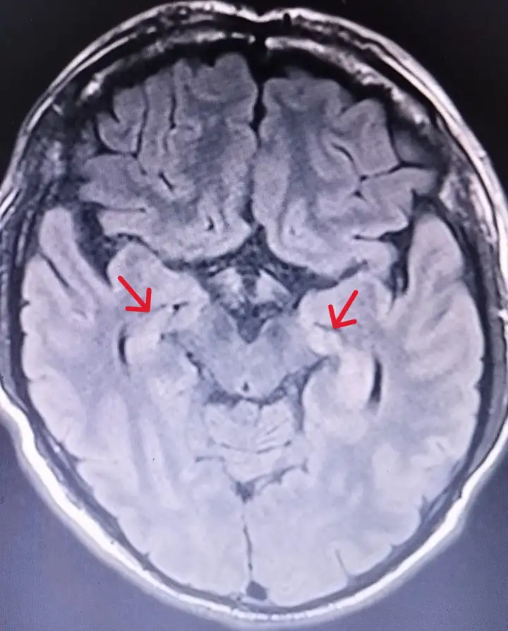
外院MR检查图像:


MR提示:左侧海马异常信号。
18F -FDG PET/CT检查图像:








18F -FDG PET/CT检查所见:
发作间期显像:PET显像双侧海马呈放射性摄取异常增高,以右侧明显,右侧海马SUVmax16.1、SUVavg4.4,左侧海马SUVmax7.3、SUVavg3.1(同层面额叶脑皮质SUVmax5.9、SUVavg2.3);CT示左侧海马体积较右侧似轻度缩小,左侧侧脑室颞角轻度增宽。PET显像右侧杏仁核及右侧基底节区局灶性放射性摄取异常增高,SUVmax14.1、SUVavg5.7(左侧SUVmax5.1、SUVavg3.6);CT示右侧杏仁核及右侧基底节区大小、形态正常,未见异常密度灶。
18F -FDG PET/CT检查结论:
发作间期显像:双侧海马、及右侧基底节区FDG代谢异常增高,考虑致癫灶可能大,请结合临床。
实验室检查结果




临床诊断:抗GABA BR抗体脑炎。
病例讨论
自身免疫性脑炎,(autoimmune encephalitis, AE),是一类由自身抗体介导的严重的、可治性的中枢神经系统疾病,是由于机体的免疫系统在某些因素,比如感染、肿瘤等诱发作用下,免疫系统发生了功能紊乱、活跃,产生了针对自身脑组织正常蛋白的抗体,这种异常免疫攻击所导致的脑炎即为自身免疫性脑炎,又称作新型边缘性脑炎。
该病主要累及儿童和青年,临床表现多样,病情严重,合并或不合并肿瘤。常规血清学脑脊液和影像学检查没有特异性,如果血清和脑脊液检测到相关抗体可明确诊断。
AE 患者的影像学表现也多种多样,但是边缘系统受累是其典型特点,熟练地掌握常见影像改变可以使影像医生联想到AE,并且快速的做出诊断。而头颅MRI对AE病变的检测阳性率仅为23%~50%,早期极易被漏诊或误诊,严重影响患者预后。研究认为18F-脱氧葡萄糖(fluorodeoxyglucose, FDG)PET/CT可灵敏显示AE各期脑代谢改变,对早期诊断和治疗监测具有重要价值。18F-FDG PET/CT对于AE的早期诊断阳性率较高,异常代谢改变程度明显,不同类型AE显像特征不同,全身显像还可提高AE相关肿瘤病变的检出率。
AE诊断标准:
(1)急性或亚急性起病,临床表现包括精神症状、癫发作、记忆减退、意识水平障碍、不自主运动及自主神经功能损害等;
(2)1个或多个辅助检查发现异常(脑脊液异常,神经或电生理异常)或者合并相关肿瘤;
(3)血清和(或)者脑脊液相关自身免疫抗体阳性;
(4)合理排除其他病因。根据患者抗体检查结果以及《中国自身免疫性脑炎诊治专家共识》 将患者分为抗 N-甲基- D-天冬氨酸受体( N-methyl- D-aspartate receptor, NMDAR)抗体脑炎组和边缘性脑炎(limbic encephalitis, LE)组,LE组包括抗γ-氨基丁酸B型受体(γ-aminobutyric acid-B receptor, GABA BR)、富亮氨酸胶质瘤失活蛋白1(leucine-rich glioma inactivated 1, LGI1)、Hu、Yo等相关抗体脑炎。