
在刚刚过去的2024年,美妆企业布局在功效洗护领域的动作不可谓不频繁。
巨子生物旗下专研精准靶点头皮护理的品牌函得仕在今年元旦发布喜报,宣布2024全年累计销售达80万+瓶,而这个成绩,仅仅是函得仕自去年三月份正式上市后用时不到一年便创下的记录;去年五月,福瑞达、珀莱雅和上美集团都相继推出了自己的洗护新品牌,不约而同瞄准了护肤式头皮洗护赛道,回望整个2024年的洗护市场堪比神仙打架。2025年1月10日,老牌国货上海缙嘉正式推出专注头皮健康的新功效品牌——3odice三蒂丝,功效洗护再添一员竞技者。
纵观近些年功效洗护市场的变化,产品是否足够专业、功效是否多维复合、对症是否足够精准逐渐成为消费者关注的三大焦点。在养发已经成为洗护领域主要诉求的今天,成分党也成为了相当具有消费声量的主要群体,TA们对自身的需求更加清晰,也更偏好于纯净天然的洗护成分。
然而,以何首乌、生姜、人参、黑芝麻等为首的中草药植物成分在功效洗护领域渲染多年,卖点大多趋同,难以形成差异化的品牌优势;又或如米诺地尔一类的化学成分虽然功效显著却难解副作用颇多的遗憾。因此,挖掘天然纯净、功效卓越且具备使用安全性的洗护成分一直以来都是学界关注的热点。
如今,凭借着生物技术的突破,咖啡因在洗护领域的潜力得以进一步凸显。
01 咖啡因≠咖啡
咖啡大概是全世界最古老且流传范围最广泛的饮料之一,传说大约三千年前,奥罗莫人便发现这种长在咖啡果树上的种子能够在食用后振奋人的精神和体力,随后,这种作物经索马里商人的货物运转流传至中东和欧洲,咖啡开始成为人们的“精神”食量。

咖啡馆雏形,图源网络
咖啡中的咖啡因是其能够“提供”能量的主要原因。这里之所以加了个引号,是因为咖啡因所提供的能量并非是字面意义上的给予,而是依靠欺骗大脑所获得的。人体中的腺苷和腺苷受体相结合,使神经细胞活动减弱,疲惫感和困意由此产生。而咖啡因的分子结构和腺苷高度相似,它会伪装成腺苷,阻止真正的腺苷与腺苷受体结合,使神经持续保持清醒。也正是由于咖啡因具有如此特殊的结构,它在美容方面的应用潜力才得以显现。

咖啡因的作用靶点 —— 腺苷受体
图源《Caffeine as an Active Molecule in Cosmetic Products for Hair Loss: Its Mechanisms of Action in the Context of Hair Physiology and Pathology》
随着对咖啡因成分的深入挖掘,人们逐渐发现它与腺苷受体之间的关系和具备的抗氧化特性,令其能够成为功效洗护领域的新兴种子选手,具体表现为:
① 磷酸二酯酶具有水解细胞内第二信使(cAMP,环磷酸腺苷或cGMP,环磷酸鸟苷)的功能,降解细胞内cAMP或cGMP,从而终结这些第二信使所传导的生化作用。cAMP和cGMP对于细胞活动起着重要的调节作用。而其浓度的调节主要由核苷酸环化酶的合成和磷酸二酯酶水解作用之间的平衡决定。咖啡因作为一种磷酸二酯酶抑制剂,可防止环磷酸腺苷的分解,从而促进其在细胞内的积累。环磷酸腺苷水平升高会上调细胞信号通路,促进皮肤细胞和毛囊的细胞增殖和代谢活动。
② 腺苷受体在人体内具有多种生理功能,它能够刺激内皮细胞增殖和迁移,助于新血管形成,改善组织供血;同时,腺苷还可以阻断血小板活化的信号通路,减少血小板聚集,预防血栓形成。咖啡因可以阻断腺苷受体,特别是亲和程度高的A1和A2A亚型,有助于皮肤和毛囊的血管舒张和微循环增加,以便通过血流更好地输送氧气和营养物质以及清除废物。

咖啡因在毛囊中的作用
图源《Caffeine as an Active Molecule in Cosmetic Products for Hair Loss: Its Mechanisms of Action in the Context of Hair Physiology and Pathology》
③ 氧化应激是导致毛囊退化的主要因素之一,咖啡因的抗氧化作用能够中和自由基,减轻其对皮肤细胞和毛囊的损耗,从而减少皮肤的氧化应激状况。
④ 胰岛素样生长因子1也被称为促生长因子,它的分子结构与胰岛素类似,是一种多肽蛋白物质,它被认为是启动和维持毛发生长周期中生长期的一个重要因素之一。研究发现咖啡因能够显著增加毛囊中胰岛素样生长因子1(IGF-1)的表达状况,从而促进毛发生长并减少脱发产生。
02 皮肤外植体模型解析咖啡因养发机制
尽管咖啡因对于促进人体皮肤毛囊的生长机制正在逐渐明晰,但科研人员还是希望跳脱出传统的借助动物模型的实验方式,寻找一种替代性强、更符合3R原则且更能代表咖啡因作用在真实人体皮肤中的实验模型。于是,皮肤外植体模型再度成为了一种更加优良的选择。(点击查看环特生物:皮肤外植体模型)
近年,来自欧洲的实验人员通过将紫外线辐射(UVR)应用于皮肤外植体中建立毛囊损伤模型,并通过施加咖啡因成分的洗发试剂检测其对毛囊损伤的保护作用,结果相当有趣。
在皮肤学领域,紫外线辐射对皮肤及其附属器的影响一直以来都是研究热点,但以往的研究大多都集中于UV辐射对皮肤表皮层和真皮层的影响,对于毛囊方向的关注则相对较少。然而通过临床研究发现,头皮经紫外线照射与脱发症具有较强的关联性,这为太阳光谱UV辐射对人体毛囊的影响提供了灵感,也为日后开发具有防晒、防脱的美容产品提供了依据。

UVR对头皮毛囊中毛发周期调节生长因子的表达产生负面影响
图源《Transepidermal UV radiation of scalp skin ex vivo induces hair follicle damage that is alleviated by the topical treatment with caffeine》
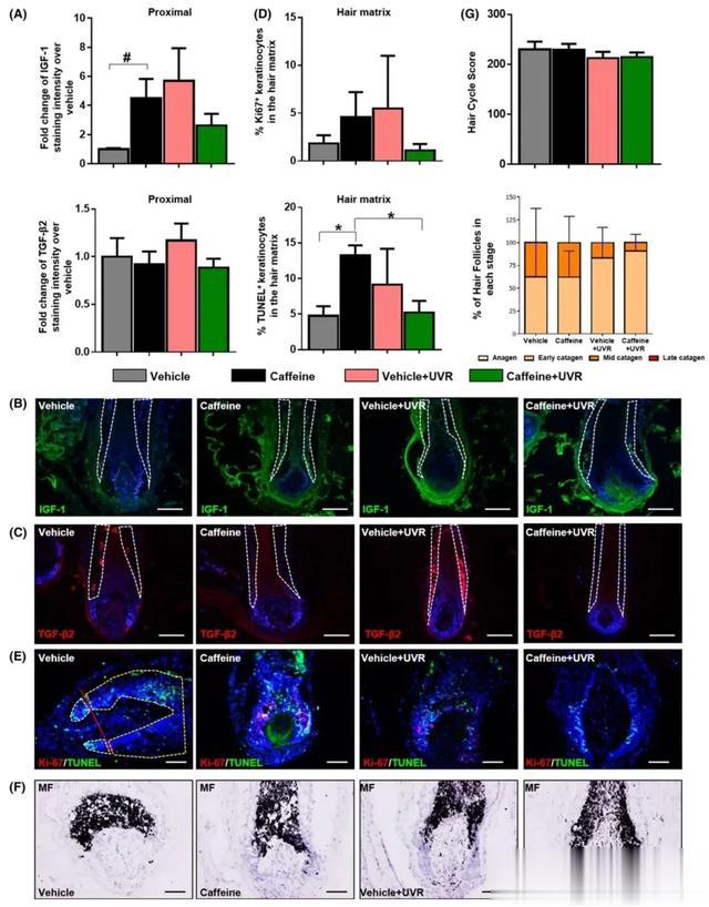
研究人员选取了四位接受过毛发移植后的健康志愿者捐献的皮肤标本,并通过UVA和UVB照射实验,建立皮肤外植体毛囊损伤模型。结果显示经紫外线辐射照射并培养后的皮肤外植体表皮晒伤细胞和凋亡角质形成细胞数量显著上升,皮肤细胞毒性增多;此外,皮肤外植体毛囊损伤模型中还出现了氧化性DNA损伤、细胞增殖与凋亡失衡、毛囊生长因子表达异常、退行期提前和肥大细胞脱颗粒等状况,这些都是可能引起脱发的因素之一。

咖啡因或UVR对毛发周期相关参数有不同影响
图源《Transepidermal UV radiation of scalp skin ex vivo induces hair follicle damage that is alleviated by the topical treatment with caffeine》
施加作用具有咖啡因成分的洗发水试剂后发现,皮肤外植体模型中的细胞毒性开始减少、表皮晒伤细胞数量随之减少;此外,在40 J/cm² UVA + 40 mJ/cm² UVB 照射下,咖啡因成分显著减少了凋亡细胞的数量,且上调了IGF - 1 表达,IGF - 1 和TGF - β2 有增加趋势,HM角质形成细胞凋亡也恢复至基线水平。
通过这项皮肤外植体实验,欧洲研究人员证实了紫外线对于毛囊生长的负面影响,同时也验证了咖啡因成分作用于真实人体皮肤时,对于毛囊损伤修复和毛发生长的积极作用,为功效洗护产品的研发提供了重要的指导意义。
03 2025年,功效洗护还会怎么卷?
2024年的美妆行业整体在变化中谋求新发展,周期性的市场困境使得跻身洗护领域成为了一种势在必然的破局之道。事实上根据预测来看,这也是无可厚非的事情。
全球知名市场研究与咨询机构Fortune Business Insights的报告称,预计全球洗发水市场将从2023年的344.6亿美元增长到2032年的565.4亿美元,复合年增长率达5.71%。聚焦中国市场,中国洗护发市场规模从2017年的433.9亿元增长至2023年的655亿元,预计2027年将达到827.9亿元。
在不断膨胀的市场体量之下,美妆企业进军洗护领域更像是嗅到了某些数字背后的隐藏气息。诚然,中国的功效洗护市场在近几年的突飞猛进有目共睹,伴随着新消费人群精细化的需求驱动,护肤市场的集中度在不断下降,而头皮护理市场则呈现出了巨大的发展潜力。
用前文提到的新品牌举例。本月上海缙嘉新推出的品牌3odice三蒂丝打出了护发如护肤的口号,主打针对头皮护理各环节各靶点的精准护理策略;福瑞达旗下品牌即沐则通过重建头皮微生态的精细化管理营造差异。梳理去年新推出的一众功效洗护品牌宣传卖点,“精准”二字屡见不鲜,可以看出,这些大牌正在用精细化方式重拾消费者对洗护的认知。
基于此,2025年功效洗护市场或许仍将呈现出三大趋势:
01
养发防脱仍将是功效洗护重要发展方向
根据KANTAR X 天猫TMIC X 三个魔发匠联合发布的《2024功效洗护白皮书》显示,我国洗护市场在后疫情时代呈现出了正向增长的态势,其中养发防脱成为了最主流的舆论声量。调查显示,有45%的消费者存在着脱发问题,且正在呈现出年轻化的趋势。在此前的文章中我们曾介绍过脱发的成因复杂,很难凭借单一的因素寻根,因此对于头皮健康的养护就成为了防脱的必由之路,随着消费者对于头皮健康护理的日益重视,养发防脱仍会是功效洗护的重要领域之一。
02
美发领域精准养护需求增加
根据TMIC×天猫个护×Flywheel飞未联合发布的《2024美护发行业趋势白皮书》显示,在主流美发趋势之外,针对头皮护理呈现出需求跃迁。传统的深度清洁让位于精准护理的专业养护,时尚度不再成为唯一的美发需求,友好使用感、健康发质、发键修复、头皮健康等一并成为新消费者在美发时同等考虑的重要因素。
03
下沉市场消费能力显现
随着房地产热度的消弭,下沉市场的可支配收入暂时没有被大的消费支出挤压,作为中国人口基数最大的群体之一,三线及以下城市、农村地区的居民消费潜力有待因此彻底释放;此外,悦己经济和丁克一族群体的扩大使得人们更愿意在自己身上投入比以往更多的成本。下沉市场消费能力的提升将是功效洗护发展的重要推手之一。
最后我们可以来看一个数据,通过美丽修行检索发现,近一年以来经国家药监局备案的宣称具有防脱发功效的产品多达250+,其中多数都是功效洗护产品。
由于我国《化妆品功效宣称评价规范》规定,宣称具有防脱发功效的妆字号产品属于特殊化妆品,必须具备由化妆品注册和备案检验机构按照强制性的国家标准、技术规范开展人体功效评价试验,并出具相应报告才能宣称防脱功效,而防脱功效又是功效洗护的其中一个分支,因此这样的数字仍还只属于功效洗护的冰山一角。可以预见在2025年,功效洗护仍会是美妆企业角力的主战场之一。