病例介绍
患儿,男,2岁,全身泛发的荨麻疹来诊。曾多次出现,都是在食用猪肉半小时之内。
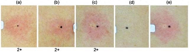
皮肤点刺试验猪肉(a)、猪肉香肠(b)和猫毛过敏原提取物(c)的点刺试验阳性(图)。
血清特异性 IgE 检测显示:猪肉蛋白(48.0 kUA/L)和猫白蛋白(>100 kUA/L)均呈阳性。
免疫印迹抑制试验证明:猪肉与猫毛上皮提取物存在交叉反应。
患儿家里的宠物猫寄养之后,不再出现食物诱发过敏。
猪肉过敏与养猫有关?
病例图片

病例思考
猪肉-猫综合征主要是由于猪肉和猫上皮过敏原存在交叉反应,部分对猫毛过敏的患者血清中存在一种IgE抗体,这种抗体可与猫上皮IgA上的糖类表位结合,这个糖类正是α-半乳糖。这类患者一般有猫毛接触史,但过敏反应症状程度与血清α-半乳糖IgE抗体滴度无相关性,且没有迟发反应和蜱虫叮咬病史,食用羊肉等其他哺乳动物肉类无反应。
既往笔记
蜱虫叮咬所致红肉过敏:α-半乳糖过敏症
2024-12-26