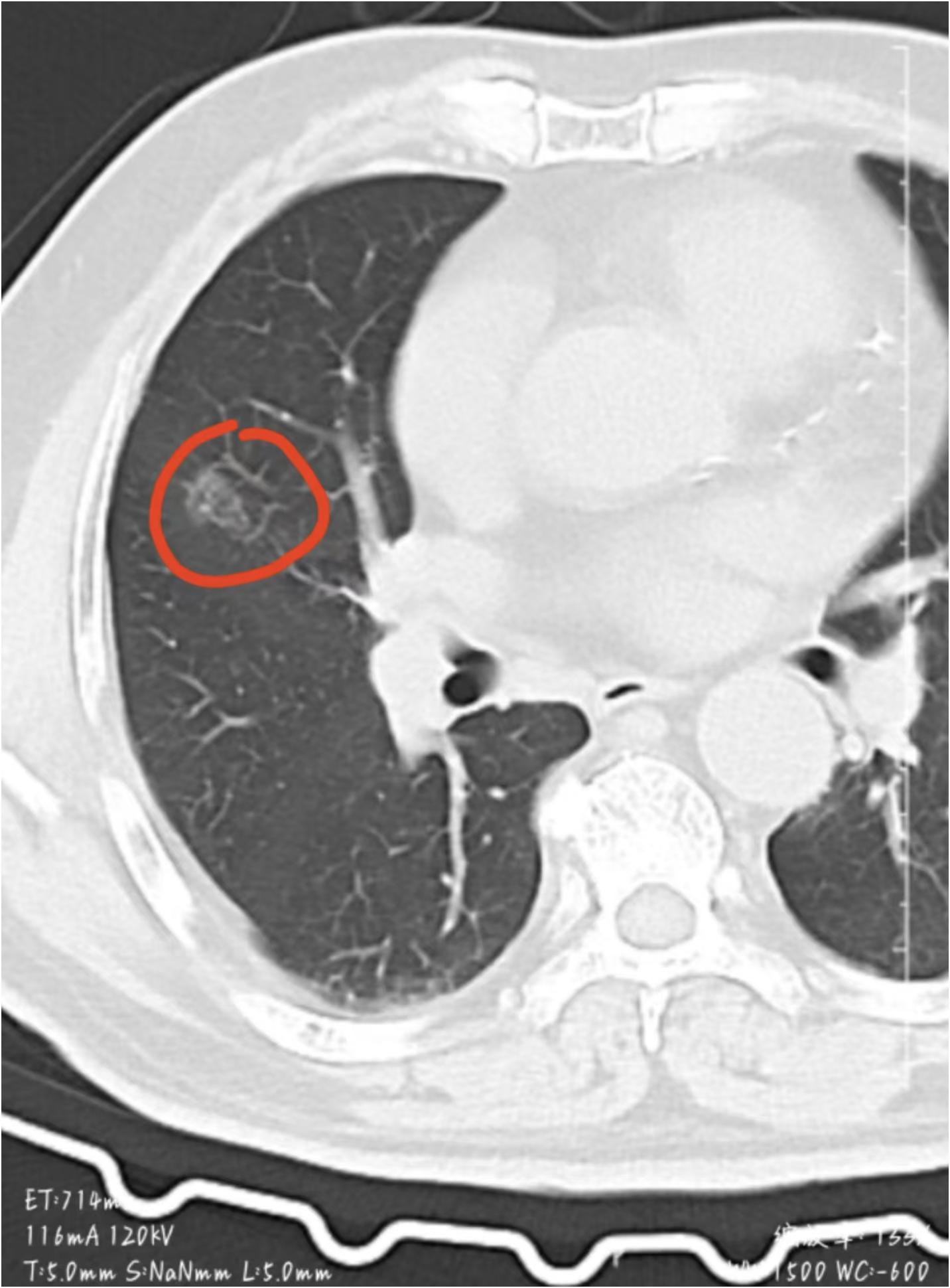
肺结节有恶化倾向!帮女儿悄悄护父安康 上午门诊的最后一位患者,是个神色慌张的女儿,特意避开远在小县城的父亲,偷偷从线上联系我。
父亲最近体检查出肺结节,片子提示形态不规则、有明显恶化倾向,她没敢告诉父亲真相,自己却扛下了所有焦虑,说起这事时声音都带着颤,说 “就怕他知道后垮掉,全家都没法安心”。
细问下来,父亲的症状其实早已显现,只是自己没太当回事:平时总觉得胸闷气短,稍微走几步路就喘,胸口还偶尔有隐隐作痛的感觉;晨起总爱咳嗽,咳出来的痰是白黏的;而且总觉得身体发沉、没精神,食欲也大不如前,吃一点就腹胀

